S. N. Birrell,1 R. E. Hall,1 and W. D. Tilley1,2
Although the androgen receptor (AR)3 is often co-expressed with the estrogen receptor (ER) and progesterone receptor (PR) in human breast tumors, its role in breast cancer is poorly understood. Specific growth stimulatory and inhibitory actions of androgens have been described in human breast cancer cell lines. The mechanisms by which androgens exert these contrasting growth effects are unknown. A commonly utilized second line therapy for the treatment of advanced breast cancer is high dose medroxyproge sterone acetate (MPA). Although MPA, a synthetic progestin, was thought to act exclusively through the PR, the androgenic side-effects observed in women taking MPA suggest that its action may also be mediated in part by the AR. In support of this hypothesis, the level of AR measured by radioligand binding in primary breast tumors was correlated with the duration of response to MPA treatment following failure of tamoxifen therapy. Recent data suggest that the presence of structurally altered AR in breast cancers may account for unresponsiveness to MPA in some of these cases. Further studies are warranted to determine the role of AR mediated pathways in regulating breast tumor growth. In particular, identification of androgen-regulated genes may lead to new possibilities for the hormonal treatment of breast cancer.
Introduction
Numerous studies indicate that 70-80% of pri-mary breast tumors express ER and 50-70% express the PR (1-3). The AR is present in 70-90% of primary breast tumors (4-6). Moreover, the AR is frequently expressed in breast cancer metastases (75%) and is the sole sex steroid receptor expressed in approximately 25% of metastatic deposits (4). More recent immuno-histochemical studies using antibodies specific for the AR have confirmed the earlier biochemical findings (7,8). These immunohistochemical studies also demonstrated that ER, PR, and AR are frequently co-expressed in breast tumors, again confirming earlier biochemical findings.
Approximately three quarters of ER and PR positive tumors are responsive to endocrine therapies (reviewed in Ref. 9). Although androgens have not been used as a primary hormonal treatment for breast cancer since the 1960s due to their masculinising side-effects (e.g., hirsutism, acne), androgens such as flu-oxy-mestrone have a therapeutic efficacy comparable to current hormonal therapies such as tamoxifen (10).
he synthetic progestin, medroxyproge sterone acetate (MPA), is commonly used in the treatment of breast cancer as a second line hormonal therapy following failure of treatment with tamoxifen. The androgenic side-effects of MPA suggest that its action may in part be mediated by the AR. Response to MPA therapy is difficult to predict and the relative contribution of the PR and the AR to its action in human breast cancer is poorly understood. Synthetic progestins bind with a high affinity to PR, glucocorticoid receptor (GR) and AR (reviewed in Ref. 11). In one clinical study the progestin response was significantly associated with high levels of AR, was weakly associated with high levels of GR, and was unrelated to the expression of ER and PR (12). In that study, 7 of 17 responders lacked detectable levels of PR. In another clinical study, high doses of MPA significantly reduced the level of both AR and PR in metastatic tumors (13). Unfortunately, methodological limitations with these studies, for example competition between MPA and the radioligand used in the biochemical assays, make it difficult to interpret the relationship between receptor levels and hormone responsiveness.
In this article, we examine the evidence support-ing the hypothesis that the AR is an important mediator of the growth regulatory effects of androgens and syn-thetic progestins on human breast cancer cells. While no previous study has directly addressed the hypothesis that the actions of synthetic progestins on human breast cancer cells may in part be mediated by the AR, several research groups have provided data to support this hypothesis (14-16).
Proliferative effects of androgens on human breast cancer cells
The in vitro proliferation of human breast cancer cell lines may be stimulated or inhibited by androgens. Physiological and pharmacological concentrations of androgens stimulated the growth of MCF-7 and EFM- 19 cells (17), whereas growth was inhibited with physi-ological concentrations in ZR-75-1 (18) and MFM- 223 cells (19), and growth was inhibited only by phar-macological concentrations of androgens in T-47D cells (20). These data raise the question of how andro-gens can have both stimulatory and inhibitory effects on breast cancer cell proliferation.
The effects of androgens on the ZR-75-1 breast cancer cell line have been examined extensively. This cell line expresses ER, PR, and AR and is estrogen responsive (21). After 12-days incubation in the pres-ence of 0.1nM estradiol (E2) in phenol red-free medium, the cell number was increased almost 3-fold above control (18). The addition of 1nM dihydrotes-tosterone (DHT) caused a 78% attenuation of E2 induced cell proliferation. This effect of DHT could be completely reversed with a saturating concentration of the AR antagonist, hydroxyflutam ide. DHT, in the absence of E2, causes a 25% inhibition of ZR-75-1 cell proliferation, again reversed by co-incubation with hydroxyflutamide (18). Implantation of ZR-75-1 cells into ovariectomized athymic mice has provided a model to examine in vivo effects of androgens on breast cancer growth. Again, in the presence and absence of exogenous E2, DHT inhibited tumor growth and this effect of DHT was reversed by simultaneous adminis-tration of hydroxyflutamide (22). Thus this cell line behaves similarly both in vivo and in vitro and is uniformly growth inhibited by androgens.
Our studies have confirmed this inhibitory effect of androgens on the proliferation of ZR-75-1 cells using the synthetic non-metabolized androgen, mibolerone (23). (See Fig. 1A.) In contrast, our studies also demonstrated that mibolerone stimulates the proliferation of the AR positive but ER and PR negative breast cancer cell line, MDA-MB-453 (Figure 1A) (23). Co-treatment of these two cell lines with mibolerone and specific anti-sense oligonucleotides to the AR, demonstrated that the inhibitory effect, but not necessarily the stimulatory effect of androgens on the proliferation of these breast cancer cell lines, was mediated by the AR (23). (See Fig. 1A.) Video image analysis (Fig. 1B) of AR immunostaining (Fig. 2) in both cell lines demonstrated that AR protein levels were significantly decreased by co-incubation with AR antisense oligonucleotides. While these observations are consistent with AR expression being a necessary requirement for androgenic effects on breast cancer cell proliferation (Table I); the absolute levels of AR (as well as ER and PR; Table I) in the cell lines were not associated with either a particular stimulatory or inhibitory proliferative response. It is likely therefore that additional cellular factors or the structure of the AR determine whether breast cancer cell proliferation is stimulated or inhibited in the presence of androgens.
Effects of androgens on ER, PR and AR levels and breast cancer cell proliferation
The data summarized in the previous section indicate that androgens have either inhibitory or stimulatory effects on the growth of human breast cancer cells in vitro. In addition, androgens either up- or down-regulate AR mRNA expression in breast cancer cell lines. The cloning of the human AR (24-26) and subsequent production of specific antibodies against the receptor facilitated measurement of AR mRNA levels and more sensitive detection of AR protein expression in breast cancer cell lines and tumors. The levels of both AR mRNA and AR binding in T47D and MDA-MB-453 breast cancer cells were reduced following treatment with DHT or the synthetic progestin, Organon 2058 (27). Hackenberg et al. (28) examined the effects of DHT on AR mRNA and protein levels in the ER negative human breast cancer cell line, MFM-223. This cell line contains high levels of AR and is growth-inhibited by physiological concentrations of DHT. AR protein levels measured by immuno-cytochemistry and ligand binding were reduced to 57%of control levels by 10 nM DHT after 24h, and at the corresponding time the AR mRNA level was also reduced (28).


Fig. 1. (A) Proliferation of MDA-MB-453 and ZR-75-1 breast cancer cells in the presence of 1nM mibolerone with or without 10mM AR antisense oligonucleotides (aso). Proliferation was assessed using a methylene blue whole cell uptake assay in 96 well plates (23). Values are expressed as percentage of untreated controls and are the mean of two independent experiments comprising 12 observations per time point. SEM ≤ 2.2 for all data points. (B) Androgen receptor expression in ZR-75-1 and MDA-MB-453 breast cancer cells cultured in the presence of 10m M random sense (control) or 10 µM AR aso. Cells were cultured in 96 well plates as for proliferation assays. Oligonucleotide s were replenished daily for 3 days prior to cells being trypsinised, cytospun and stained with the antiaminoterminal AR antibody, U402 (23). Mean optical density (MOD; proportional to the cellular concentration of AR) of positive staining was determined using video image analysis (23). Results represent mean ± SEM.
In another study, prolonged exposure (i.e., 14 days) of ZR-75-1 cells to physiological concentrations of DHT inhibited both basal and estrogen-induced pro-liferation (29). Treatment with subnanomola r concen-trations of DHT markedly reduced the ER and PR content, as measured by radioligand binding and anti-ER monoclonal antibodies. These effects of DHT on breast cancer cell proliferation and receptor levels were reversed by the androgen receptor antagonist, hydroxy-flutamide, indicating that they were mediated via an interaction with the AR (29).
In vivo studies using the hormone-dependent DMBA rat mammary tumor model have shown that treatment with testosterone results in tumor regression and a concomitant reduction in ER levels (30). One possible mechanism for this decrease in ER levels in the tumours is that androgen directly regulates ER expression. An alternative explanation is that pharmacological doses of testosterone may be aromatized to E2 resulting in autologous down-regulation of ER. Thirdly, androgens bind with a low affinity to ER, which may result in an apparent reduction in ER levels following treatment with high doses of testosterone propionate due to interference with ligand binding in biochemical assays for ER.
The studies described earlier indicate that andro-gens can regulate breast cancer cell growth via an interaction with the AR. However, the effects of androgens on breast cancer cell proliferation may be either stimulatory or inhibitory, suggesting that cell specific differences (e.g., the level of expression of co-factors and co-repressors) or structural alterations in the receptor, as discussed later, may modulate receptor function. Furthermore, the effects of androgens on breast cancer cell growth may be modulated by interactions with ER and PR and other growth factor pathways.

Fig. 2. AR immunostaining of MDA-MB-453 breast cancer cells after 3 days of treatment with 10m M AR random sense (control) (A) or 10 µM AR antisense oligonucleotides (B). (× 200). Cells were cultured in 96 well plates as for proliferation assays. Oligonucleotid es were replenished daily for 3 days prior to cells being trypsinised, cytospun and stained with the anti amino-termina l AR antibody, U402 (23).

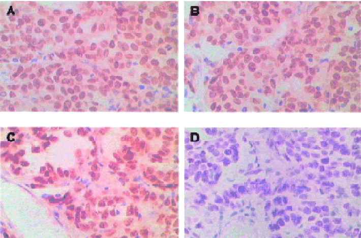
Fig. 3. Photomicrograp hs (× 200) of AR immunostaining of primary breast carcinomas derived from two patients treated with medroxyprogeste rone acetate (MPA). Figure A and B shows intense nuclear staining for AR in a tumour of a patient that responded to MPA treatment. Staining is positive for the anti-carboxyl (i.e., R489; A) and anti-amino-termina l (i.e., U402; B) AR antibodies. Figures C and D illustrate AR immunostaining in a tumour which did not respond to treatment with MPA. Nuclear immunoreactivi ty is apparent in the tissue section stained with the anti-carboxyl AR antibody; (R489; C), but no immunostaining was evident with the anti-aminoterm inal antibody (U402; D).
Table I. ER, PR and AR Expression in 6 Human Breast Cancer Cell Lines
| Cell line | Proliferative response to DHTb,c |
Receptor levelsa | ||
| ER | PR | AR | ||
| MCF-7 | Stimulated | ++ | + | + |
| T47-D | Inhibited | + | +++ | + |
| ZR-75-1 | Inhibited | + | + | ++ |
| MDA-MB-453 | Stimulated | - | - | +++ |
| BT-20 | No response | - | - | - |
| MDA-MB-231 | No response | - | - | - |
|
aDetermined by radioligand binding (34). bProliferative response was measured using a methylene blue colorimetric assay as previously described (23). cCell lines were exposed to 1nM DHT for 10 days. |
||||
Effect of MPA on human breast cancer cells
In Vitro Effects of MPA in Human Breast Cancer
While MPA inhibits the proliferation of breast cancer cells in vitro, this effect is not correlated with PR levels (15,20,31,32). Poulin et al. (33) suggested that MPA effects on ZR-75-1 cells were largely by direct interaction with the AR. However, this conclusion was based on the use of saturating doses of gluco-corticoids and the synthetic progestin, R5020, in the culture medium to block MPA interaction with steroid hormone receptors other than the AR.
To further clarify the interaction of MPA with the AR, we examined effects of MPA on the human breast cancer cell line, MDA-MB-453. This cell line expresses high levels of AR mRNA and protein (34). In contrast to ZR-75-1 cells, expression of ER or PR mRNA and protein could not be detected in MDA-MB-453 cells (34). Evidence that the AR is functional in these cells is provided by the observation that androgens induce the activity of endogenous androgen-responsive genes (e.g., fatty acid synthetase, gross cys-tic disease fluid protein 15 and the prolactin receptor)(34). This cell line therefore is an important model for studying androgenic effects in the absence of ER or PR.
In contrast to the stimulatory effect of androgens on the proliferation of MDA-MB-453 cells (37), 100nM MPA inhibits the proliferation of these cells by approximately 35% after 12 days in culture (unpublished data). In addition, binding studies with radiolabeled MPA in the presence or absence of various competitor steroids and receptor antagonists demonstrated specific binding of MPA to AR in MDA-MB- 453 cells (35). Equimolar concentrations of MPA, DHT and the synthetic androgen, R1881, displaced approxi-mately 50% of bound tritiated MPA indicative of high affinity binding of MPA to the AR. A 100-fold excess of the synthetic progestin, R5020, only partially displaced bound tritiated MPA, consistent with a lower relative binding affinity of this progestin for the AR (36). Furthermore, saturation analysis of tritiated MPA binding to MDA-MB-453 cells demonstrated high affinity binding (Kd 5 0.5nM) to the AR (35), similar to the relative binding affinity reported for MPA binding to the PR (36).
In Vivo Effects of MPA in Human Breast Cancer
The selection of adjuvant or palliative therapy in breast cancer would be improved if a feature of the primary tumor were predictive of response to MPA. Towards this goal, 136 postmenopausal women who received secondary MPA treatment following failure of adjuvant tamoxifen therapy for lymph node positive breast cancer between 1984 and 1987, were studied (37). ER, PR, and AR levels in the primary tumor, size and degree of axillary node involvement were determined at the time of diagnosis. Median follow-up was 81 months, at which time 89 women had devel-oped metastatic disease. Subsequently, 83 of these women received MPA. The objective response rate (i.e. complete response, partial response, or stable dis-ease) and progression-fre e interval were assessed in response to secondary MPA therapy.
Forty eight of the 83 patients responded positively to MPA therapy of 500mg/day (37). The median pro-gression free interval for these patients was 24 months. The response rate was significantly associated with the presence of AR (p < 0.001) but not with other primary tumor characteristics (e.g., ER or PR levels) or with duration of tamoxifen therapy. The progression free interval of responders to MPA was proportional to the concentration of AR in the primary tumor, that is a longer progression free interval with higher AR content (37).
Various studies have shown that ER levels are reduced in breast cancer patients who relapse while being treated with tamoxifen (38-41), indicative of a transition from an ER positive to negative phenotype following tamoxifen treatment. Furthermore, recurrence during adjuvant tamoxifen therapy has been associated with an increase in the frequency of an ER and PR negative phenotype in breast tumors (41). This would fit with in vitro (42) and in vivo (9) data sug-gesting that chronic exposure to tamoxifen results in down-regulation of PR, as well as ER. In conjunction with the data on AR, these data are consistent with the hypothesis that adjuvant tamoxifen therapy results in a receptor phenotype in which the efficacy of sec-ond-line MPA therapy is partly dependent upon the presence of AR mediated growth regulatory pathways.
Structural variants of the AR in human breast cancer
While we have demonstrated the potential importance of the AR in modulating and predicting MPA response in human breast cancer cells, it remains unclear why the expression of AR in vivo is not absolutely predictive of hormone response. To further evaluate the role of the AR in mediating the action of MPA in vivo, we utilized an immunocytochemical technique developed in our laboratory to detect potentially abnormal AR in prostate cancer biopsies (43). Serial sections of archival paraffin-embedded blocks of breast tumor biopsies from the same MPA treatment cohort described earlier were stained with polyclonal antibodies directed against either the amino- (i.e., U402) or carboxyl- (i.e., R489) termini of the AR. Although a correlation was found between AR levels measured by radioligand binding and response to MPA, the immunohistochemical studies demonstrated significant discordance between MPA responders and non-responders. Almost 50% (24/54) of non-responder s lacked uniform immunostaining with the two antibodies (Fig. 3), compared with only 12.5% (4/32) in the responder cohort (unpublished data).
The immunohistochemical studies also demon-strated that 47% (16/34) of tumors in the subgroup of non-responders to MPA therapy contained AR by radioligand binding and immunostaining with the anti carboxyl-terminal AR antibody, R489, but not with the anti amino-terminal AR antibody, U402 (35). This finding is suggestive of the presence of an amino-terminal truncated AR variant such as the AR-A isoform described by Wilson and McPhaul (44). The pattern of AR immunostaining observed could result from a deletion in the amino-terminal region of the AR gene. However, this possibility is unlikely because such deletions have rarely been reported in the AR gene in the inherited syndrome of androgen insensitivity or prostate cancer (reviewed in Ref. 45). While mutations in the AR coding region may explain the heterogeneous staining pattern, the markedly discordant staining observed with the two antibodies to the AR termini is more consistent with a change in the ratio of the A and B isoforms of the receptor (where B is the full length AR). The amino-terminal truncated form (i.e., AR-A) lacking the first 187 amino acids of the receptor was originally identified in genital skin fibroblasts where the ratio of A:B forms is approximately 1:10 (44). These AR isoforms resemble the A and B forms of the human PR, also encoded by a single gene and differing by the absence or presence of an amino-terminal segment (46). At this time it is not known whether alterations in the ratio of the two AR isoforms could result in altered androgen responsiveness and, in particular, reduced responsiveness to treatment with MPA.
Further analysis of AR immunoreactivity and radioligand binding in the MPA treated cohort identified distinct differences between the responder and non-responder groups. Eleven of the tumors in the non-responder group stained positively with the amino-terminal antibody, U402, and did not have detectable radioligand binding for AR (unpublished data). A possible explanation for this observation is that those tumors that failed to respond to MPA treatment contain mutations in the hormone binding domain of the AR. In the inherited syndrome of androgen insensitivity, single base changes in the AR gene result in loss of receptor function (45). Preliminary analysis has identified similar inactivating mutations in the ligand binding domain of the AR gene in two out of the eleven tumors. In view of our finding that MPA binds to the AR with a high affinity, mutations in the AR gene could result in the loss of MPA binding and failure of MPA therapy.
A germline mutation in the ligand binding domain of the AR gene has been reported in a human prostate tumor (47). A consequence of this mutation was promiscuity of ligand binding resulting in stimulation of AR transcriptional activity by estradiol with comparable efficacy to DHT. Two daughters and one of the grand daughters of this patient were heterozygous for the mutation. As the development of the normal breast requires a coordinated and balanced stimulation by steroid hormones, the long-term consequences of this AR gene mutation for the development of the breast and breast tumorigenesis are unknown.
Recently, Dowsett’ s group (48) identified an exon 3 deleted splice variant of AR mRNA in three human breast cancer cell lines (MCF-7, BT-474 and MDA-MB-231) as well as in some breast tumors using RT-PCR and direct DNA sequencing. The variant AR mRNA was co-expressed with wild-type mRNA. In vitro translation of the variant mRNA resulted in an AR protein approximately 5kDa smaller than the wild type protein; the second zinc finger within the DNA-binding domain was lacking. The AR variant is predicted to have reduced ability to activate gene transcription and could inhibit the activity of wild-type receptor by heterodimerisation. While the relatively high expression of this AR variant in some breast tumors suggests a role in regulating the growth of breast cancer, the corresponding truncated proteins have not been identified.
Conclusions
The studies described earlier provide evidence for the involvement of AR mediated pathways in the regulation of breast cancer growth. Furthermore, it appears that the AR may in part mediate the anti-proliferative effects of synthetic progestins such as MPA on human breast cancer cells. The presence of AR in primary breast tumors is also predictive of response to MPA therapy. The predictive power of AR, however, was not absolute, possible due in part to alterations in the structure of the AR. Alternatively, ligand-independent activation of the AR and modulation of the transcriptional activity of the receptor could explain the failure to demonstrate an absolute correlation between the presence of AR in the primary tumor and response to MPA treatment. There is considerable cross-talk between different growth factor pathways in androgen target tissues. For example, protein kinase A and the polypeptide growth factors, insulin-like growth factor I, epidermal growth factor and keratino-cyte growth factor can stimulate AR-mediated reporter gene transcription and activate AR signaling pathways (49-50). The pure anti-androgen, casodex, is able to completely reverse AR transcriptional activity induced by these growth factors, suggesting that they may have a direct effect on the AR.
In order to develop better androgenic therapies for breast cancer, it is critical to understand the nature of gene pathways regulated by the AR in breast tissues. Identification of androgen-regu lated genes that mediate growth-stimulating versus growth-inhibitory effects of androgens will improve our understanding of the role of androgens and the AR in breast cancer. Furthermore, characterization of gene pathways mediating the inhibitory effects of androgens and synthetic progestins on breast cancer cells may enable more precise prediction of the response to hormonal therapies, and define potential new targets for treating breast cancer. Such new treatments may be particularly important in metastatic disease where the AR is often the sole steroid receptor expressed.
Acknowledgments
We thank Ms Kathi Ward for preparation of the manuscript. This work was supported by the National Health and Medical Research Council of Australia, Anti Cancer Foundation of the Universities of South Australia and the Kathleen Cuningham Breast Can-cer Foundation.
References
- S. M. Thorpe and C. Rose (1986). Oestrogen and progesterone receptor determinations in breast cancer; technology and biol-ogy. Cancer Surveys 5:505-525.
- C. R. Wenger, S. Beardslee, M. A. Owens, G. Pounds, T. Oldaker, P. Vendely, M. R. Pandian, D. Harrington, G. M. Clark, and W. L. McGuire (1993). DNA Ploidy, S-Phase, and steroid receptors in more than 127,000 breast cancer patients. Breast Cancer Res. Treat. 28:9-26.
- M. F. Pichon, P. Broet, H. Magdelenat, J. C. Delarue, F. Spyr-atos, J. P. Basuyan, S. Saez, A. Rallet, P. Courriere, R. Millon, and B. Asselain (1996). Prognostic value of steroid receptors after long term follw-up of 2257 operable breast cancers. Brit. J. Cancer 73:1545-1551.
- O. A. Lea, S. Kvinnsland, and T. Thorsen (1989). Improved measurement of androgen receptors in human breast cancer. Cancer Res. 49:7162-7167.
- N. Kimura, A. Mizokami, T. Oonuma, H. Sasano, and H. Nagura (1993). Immunocytochem ical localization of androgen receptor with polyclonal antibody in paraffin-embedded human tissues. J. Histochem. Cytochem. 41:671-678.
- J. A. Soreide, O. A. Lea, J. E. Varhaug, A. Skarstein, and S. Kvinnsland (1992). Androgen receptors in operable breast cancer: relation to other steroid hormone receptors, correlations to prognostic factors and predictive value for effect of adjuvant tamoxifen treatment. Eur. J. Surg. Oncol. 18:112-118.
- V. Kuenenboumeeste r, T. H. Vanderkwast, W. L. Vanputten, C. Claassen, B. Vanooijen, and S. C. Henzenlogmans (1992). Immunohistochem ical determination of androgen receptors in relation to estrogen and progesterone receptors in female breast cancer. Int. J. Cancer 52:581-584.
- J. J. Isola (1993). Immunohistoche mical demonstration of androgen receptor in breast cancer and its relationship to other prognostic factors. J. Pathol. 170:31-35.
- R. J. Santen, A. Manni, H. Harvey, and C. Redmond (1990). Endocrine treatment of breast cancer in women. Endocrine Rev. 11:221-265.
- D. C. Tormey, M. E. Lippman, B. K. Edwards, and J. G. Cassidy (1983). Evaluation of Tamoxifen doses with and with-out fluoxymesterone in advanced breast cancer. Ann. Intern. Med. 98:139-144.
- C. L. Clarke and R. L. Sutherland (1990). Progestin regulation of cellular proliferation. Endocrine Rev. 11:266-301.
- F. A. Teulings, H. A. van Gilse, M. S. Henkelman, H. Portengen, and J. Alexieva-Figusch (1980). Estrogen, androgen, glucocor-ticoid, and progesterone receptors in progestin-induced regres-sion of human breast cancer. Cancer Res. 40:2557-2561.
- S. Lundgren, P. E. Lonning, E. Utaaker, A. Aakvaag, and S. Kvinnsland (1990). Influence of progestins on serum hormone levels in postmenopausal women with advanced breast cancer - I. General findings. J. Steroid Biochem. 36:99-104.
- D. Chalbos, D. Haagensen, T. Parish, and H. Rochefort (1987). Identfication and androgen regulation of two proteins released by T-47D human breast cancer cells. Cancer Res. 47:2787-2792.
- R. Poulin, D. Baker, D. Poirier, and F. Labrie (1989). Androgen and glucocorticoid receptor-mediate d inhibition of cell prolifer-ation by medroxyprogester one acetate in ZR-75-1 human breast cancer cells. Breast Cancer Res. Treat. 13:161-172.
- R. Hackenberg, T. Havighorst, A. Filmer, A. H. Nia, and K. D. Schulz (1993). Medroxyprogest erone acetate inhibits the proliferation of estrogen-receptor and progesterone-re ceptor negative MFM-223 human mammary cancer cells via the androgen receptor. Breast Cancer Res. Treat. 25:217-224.
- R. Hackenberg, J. Hofmann, F. Holzel, and K. D. Schulz (1988). Stimulatory effects of androgen and antiandrogen on the in vitro proliferation of human mammary carcinoma cells. J. Can-cer Res. Clin. Oncol. 114:593-601.
- R. Poulin, D. Baker, and F. Labrie (1988). Androgens inhibit basal and estrogen-induced cell proliferation in the ZR-75-1 human breast cancer cell line. Breast Cancer Res. Treat. 12:213-225.
- R. Hackenberg, S. L Èuttchens, J. Hofmann, R. Kunzmann, F. H Èolzel, and K. D. Schulz (1991). Androgen sensitivity of the new human breast cancer cell line MFM-223. Cancer Res. 51:5722-5727.
- R. L. Sutherland, R. E. Hall, G. Y. Pang, E. A. Musgrove, and C. L. Clarke (1988). Effect of medroxyprogeste rone acetate on proliferation and cell cycle kinetics of human mammary carcinoma cells. Cancer Res. 48:5084-5091.
- K. B. Horwitz, D. T. Zava, A. K. Thilagar, E. M. Jensen, and W. L. McGuire (1978). Steroid receptor analyses of nine human breast cancer cell lines. Cancer Res. 38:2434-2437.
- S. Dauvois, C. S. Geng, C. Levesque, Y. Merand, and F. Labrie (1991). Additive inhibitory effects of an androgen and the antiestrogen EM-170 on estradiol-stimulated growth of human ZR-75-1 breast tumors in athymic mice. Cancer Res. 51:3131-3135.
- S. N. Birrell, J. M. Bentel, T. E. Hickey, C. Ricciardelli, M. A. Weger, D. J. Horsfall, and W. D. Tilley (1995). Androgens Induce Divergent Proliferative Responses In Human Breast Cancer Cell Lines. J. Steroid Biochem. Mol. Biol. 52:459-467.
- C. Chang, J. Kokontis, and S. Liao (1988). Molecular cloning of human and rat complementary DNA encoding androgen receptors. Science 240:324-326.
- D. B. Lubahn, D. R. Joseph, P. M. Sullivan, H. F. Willard, F. S. French, and E. M. Wilson (1988). Cloning of human androgen receptor complementary DNA and localization to the x chromo-some. Science 240:327-330.
- W. D. Tilley, M. Marcelli, J. D. Wilson, and M. J. McPhaul (1989). Characterization and expression of a cDNA encoding the human androgen receptor. Proc. Natl. Acad. Sci. USA 86:327-331.
- R. E. Hall, W. D. Tilley, M. J. McPhaul, and R. L. Sutherland (1992). Regulation of androgen receptor gene expression by steroids and retinoic acid in human breast-cancer cells. Int. J. Cancer 52:778-784.
- R. Hackenberg, T. Hawighorst, A. Filmer, E. P. Slater, K. Bock, and M. Beato (1992). Regulation of androgen receptor mRNA and protein level by steroid hormones in human mammary cancer cells. J. Steroid Biochem. Mol. Biol. 43:599-607.
- R. Poulin, J. Simard, C. Labrie, L. Petitclerc, M. Dumont, and L. Lagace (1989). Down-regulatio n of estrogen receptors by androgens in the ZR-75-1 human breast cancer cell line. Endo-crinology 125:392-399.
- D. T. Zava and W. L. McGuire (1977). Estrogen receptors in androgen-induced breast tumor regression. Cancer Res. 37:1608-1610.
- R. Hackenberg, J. Hofmann, G. Wolff, F. Holzel, and K. D. Schulz (1990). Down-regulation of androgen receptor by pro-gestins and interference with estrogenic or androgenic stimula-tion of mammary carcinoma cell growth. J. Cancer Res. Clin. Oncol. 116:492-498.
- F. Labrie, R. Poulin, J. Simard, H. F. Zhao, C. Labrie, and S. Dauvois (1990). Interactions between estrogens, androgens, progestins, and glucocorticoids in ZR-75-1 human breast cancer cells. Ann. N. Y. Acad. Sci. 595:130-148.
- R. Poulin, D. Baker, D. Poirier, and F. Labrie (1991). Multiple actions of synthetic ` progestins’ on the growth of ZR-75-1 human breast cancer cells: an in vitro model for the simultane-ous assay of androgen, progestin, estrogen, and glucocorticoid agonistic and antagonistic activities of steroids. Breast Cancer Res. Treat. 17:197-210.
- R. E. Hall, S. N. Birrell, W. D. Tilley, and R. L. Sutherland (1994). MDA-MB-453, An androgen-responsi ve human breast carcinoma cell line with a high level of androgen receptor expression. Eur. J. Cancer 30A:484-490.
- S. N. Birrell, J. M. Bentel, D. J. Horsfall, and W. D. Tilley (1996). Androgen receptor expression and medroxyprogeste r-one acetate therapy in human breast cancer. Proc. Amer. Assoc. Cancer Res. 37:237.
- T. Ojasoo, J. P. Raynard, and J. C. Dore (1994). Affiliations among steroid receptors as revealed by multivariate analysis of steroid binding data. J. Steroid Biochem. Mol. Biol. 48:31-46.
- S. N. Birrell, D. M. Roder, J. M. Bentel, D. J. Horfall, and W. D. Tilley (1995). Medroxyprogesteron e acetate therapy in advanced breast cancer: The prognositic value of Androgen Receptor expression. J. Clin. Oncol. 13:1572-1577.
- D. F. Hull, III, G. M. Clark, C. K. Osborne, G. C. Chamness, W. A. Knight, III, and W. L. McGuire (1983). Multiple estrogen receptor assays in human breast cancer. Cancer Res. 43:413-416.
- G. E. Gross, G. M. Clark, G. C. Chamness, and W. L. McGuire (1984). Multiple progesterone receptor assays in human breast cancer. Cancer Res. 44:836-840.
- C. A. Encarnacion, D. R. McGuire, W. L. Clark, S. A. W. Fuqua, and C. K. Osborne (1993). Measurement of steroid hormone receptors in breast cancer patients on tamoxifen. Breast Cancer Res. Treat. 26:237-246.
- S. R. D. Johnston, G. Saccanijotti, I. E. Smith, J. Salter, J. Newby, and M. Coppen (1995). Changes in estrogen receptor, progesterone receptor, and ps2 expression in tamoxifen-resis -tant human breast cancer. Cancer Res. 55:3331-3338.
- M. L. Graham, J. A. Smith, P. B. Jewett, and K. B. Horwitz (1992). Heterogeneity of progesterone receptor content and remodeling by tamoxifen characterize subpopulations of cul-tured human breast cancer cells: analysis by quantitative dual parameter flow cytometry. Cancer Res. 52:593-602.
- W. D. Tilley, S. S. Lim-Tio, D. J. Horsfall, J. O. Aspinall, V. R. Marshall, and J. M. Skinner (1994). Detection of discrete androgen receptor epitopes in prostate cancer by immunostain-ing-measurement by color video image analysis. Cancer Res. 54:4096-4102.
- C. M. Wilson and M. J. McPhaul (1994). A and B forms of the androgen receptor are present in human genital skin fibroplasts. Proc. Natl. Acad. Sci. USA 91:1234-1238.
- C. A. Quigley, A. Debellis, K. B. Marschke, M. K. Elawady, E. M. Wilson, and F. S. French (1995). Androgen receptor defectsÐ historical, clinical, and molecular perspectives. Endo-crine Rev. 16:271-321.
- J. D. Graham, C. Yeates, R. L. Balleine, S. S. Harvey, J. S. Milliken, A. M. Bilous, and C. L. Clarke (1995b). Characteriza-tion of progesterone receptor A and B expression in human breast cancer. Cancer Res. 55:5063-5068.
- J. P. Elo, L. Kvist, K. Leinonen, V. Isomaa, P. Henttu, and O. Lukkarinen (1996). Mutated human androgen receptor gene detected in a prostatic cancer patient is also activated by estra-diol. J. Clin. Endocrinol. Metabol. 80:3494-3500.
- X. Zhu, A. A. Daffada, C. M. Chan, and M. Dowsett (1997). Identification of an exon 3 deletion-splice variant androgen receptor mRNA in human breast cancer. Int. J. Cancer (in press).
- L. V. Nazereth and N. L. Weigel (1996). Activation of the human androgen receptor through a protein kinase a signaling pathway. J. Biol. Chem. 271:19900-19907.
- Z. Culig, A. Hobisch, M. V. Cronauer, C. Radmayr, J. Trapman, A. Hittmair, G. Bartsch, and H. Klocker (1994). Androgen receptor activation in prostate tumor cell lines by insulin-like growth factor-I, Keratinocyte Growth Factor, and epidermal growth factor. Cancer Res. 54:5474-5478.