G. Shyamala2,3
1This article is dedicated to the memory of my father, P. V. Gopalan. He taught me with wisdom and humor that curiosity was an integral part of learning and discovery. 2Division of Life Sciences, Lawrence Berkeley National Laboratory, University of California, One Cyclotron Road, Bldg. 74, Berkeley, California 94720.
4Abbreviations: PR, progesterone receptor; PRKO, progesterone receptor knock out; ER, estrogen receptor; ERKO, estrogen receptor knock out; KGF, keratinocyte growth factor; KGFR, keratino-cyte growth factor receptor; HRG, heregulin; EGF, epidermal growth factor; ECM, extracellular matrix.
3To whom correspondence should be addressed; E-mail: shyamala_harris@lbl.gov.
Abstract
Progesterone was identified as a mammogenic hormone several years ago but until now its precise role in mammary development has remained obscure. Recently with the generation of several transgenic mouse models and development of reagents for analysis of progesterone receptor expression, the role of progesterone signaling in mammary development is becoming more clear. The most significant observations to emerge from these studies are (1) progesterone receptors (PR)[4] are present in a heterogeneous manner in the epithelial cells and undetectable in the surrounding fat pad; (2) they are essential for lobuloalveolar and not for ductal morphogenesis; (3) progesterone signaling through progesterone receptors, leading to lobuloalveolar development, is initiated in the epithelium and may occur through paracrine mechanisms; and (4) a regulated expression of the two isoforms of progesterone receptor is critical for maintaining appropriate responsiveness to progesterone and hence, epithelial cell replicative homeostasis. These studies also reveal that the consequences of progesterone signaling through progesterone receptor may depend on the cell context, cell-cell and cell-extracellular matrix interactions, the dynamics of PR turnover and the fate of PR positive cells.
KEY WORDS: Mammary glands; progesterone; progesterone receptor; morphogenesis.
Introduction
In all species, mammary glands are composed of various cell types and it is the epithelium, embedded in the fatty stroma (commonly known as the “fat pad”), that is targeted for proliferation and differentiation. Our current understanding of the developmental biology of mammary glands is mostly derived from studies on experimental systems using mice and rats. It is, however, known that the overall patterns of growth and differentiation and the generation of various morpho-logical structures are similar in rodents and humans. The development of mammary glands occurs mostly in the postnatal female and is discontinuous, accompanying two discrete physiological states, namely, puberty and pregnancy. At the onset of puberty epithelial cells begin to proliferate to form a tree-like pattern of ducts originating from the nipple; growth stops as the growing ducts approach the periphery of the fat pad or are confined by the lateral ducts. In the adult female, with each menstrual cycle in humans or estrous cycle in rodents, ductal cells give rise to alveolar buds but overall from the net proliferative standpoint, the glands of young nulliparous females remain essentially quiescent. At the onset of pregnancy, epithelial cell replication begins once again resulting in numerous outgrowths from the terminal ends, and lateral walls of ducts and branches and lobuloalveolar structures, indicative of overt differentiation begin to fill the interductal spaces (1-5).
Beginning with pioneering in vivo studies done with rodents in the late fifties, it has now been well established that the ovarian steroid hormones, estradiol and progesterone, are important for the proliferation and differentiation of epithelial cells and as well as for their conversion to transformed phenotypes (3, 6). Direct exposure of pre-pubertal mammary glands to estradiol or administration of estradiol to ovariecto-mized mice leads to an increase in DNA synthesis in the mammary epithelial cells resulting in ductal growth (7, 8). Conversely, in pre pubertal mice, antiestrogen treatment leads to inhibition of DNA synthesis in the epithelial cells of the end buds resulting in a diminished growth analogous to the effect of ovariectomy (9). In ovariectomized adult females administration of estrogen and progesterone initiates lobuloalveolar development (10). These observations emphasize the primary importance of estrogen and progesterone signaling for both ductal and lobuloalveolar morphogenesis.
One of the current challenges in mammary devel-opmental biology is to define and characterize the mechanisms that are specifically responsible for ductal versus lobuloalveolar morphogenesis. Such under-standing will be based inevitably on the mechanisms responsible for the action of estrogen and progesterone in mammary development. Furthermore, a resolution of the mechanisms responsible for appropriate mammary responsiveness to estrogen and progesterone is also critical to understand the biological basis for the genesis of mammary tumors. This is because transition from ductal to lobuloalveolar development is indicative of morphological differentiation which ultimately leads to terminal differentiation and it is known that failure to achieve differentiation by normal cells can often serve as a trigger for carcinogenesis (11, 12). This article reviews the regulation of normal mammary gland development by progesterone especially as it pertains to signaling through its receptors and its potential implications for mammary carcinogenesis.
Progesterone signaling through pr is required for lobulo-alveolar but not ductal morphogenesis
According to our current understanding of the mechanism of action of progesterone (13, 14), the effects of this steroid are mediated mainly through its cognate receptors, progesterone receptors (PR). PR in rodent mammary glands were identified and character-ized in detail several years ago. However, until the generation of PR null mutant (PRKO) mice the precise importance of PR and hence, progesterone signaling in mammary development was not clear because PR expression is increased with estrogen treatment (15). Thus, in intact wild type mice, progesterone signaling through PR and hence, its specific role in mammary development, cannot be assessed in the absence of an estrogen and estrogen receptor (ER) background.
Analyses of mammary whole mounts of PRKO mice during postnatal development demonstrate that mammary ductal morphogenesis proceeds normally in PRKO mice. As shown in Fig. 1, the postnatal mammary glands of 5-week-old PRKO mice contain large numbers of end buds indicative of active ductal growth, similar to the wild type mice (Compare Panel A with Panel B). In 8-week-old wild-type and PRKO mice ductal growth begins to approach the limits of the fat pad (Panels C and D). As shown in Panels E and F, in adult females (3-to 5-months-old), the fat pad in PRKO mice is filled with primary and secondary ducts. Ductal growth in PRKO mice, however, can be inhibited by antiestrogen treatment (Fig. 1, compare Panel G with H). In contrast to ductal morphogenesis, there is an absolute requirement for PR to elicit lobuloalveolar growth (16). In PRKO mice there is a complete absence of interductal lobuloalveolar structures; this situation persists despite the administration of estrogen and progesterone in a regimen that will cause full lobuloal-veolar development in wild type mice (16).

Figure 1. (opposite) Photomicrographs of mammary glands illustrating ductal morphogenesis in PRKO (—/—) and wild-type (+/+) litter mates of different ages. A (+/+), B (—/—) at 5 weeks; C (+/+), D (—/—) at 8 weeks; E and F (—/—) adult mice; H (—/—) shows the effects of anti-estrogen (1C1 182,780) treatment for 3 weeks beginning at 4 weeks of age. Note impaired ductal growth (Panel H) compared to oil treated control (— /—; Panel G).
An integration of the patterns of mammary devel-opment observed in PRKO mice with those reported for ER null mutant (ERKO) mice allows a clear distinction to be made between the roles of estrogen and ER and progesterone and PR in mammary development. Ductal growth is severely compromised in ERKO mice (17) and also in PRKO mice treated with antiestrogen (Fig. 1). These observations establish that it is estrogen signaling through ER that is critical for ductal morpho-genesis. Similarly, the inhibition of lobuloalveolar development in PRKO mice (despite the presence of ER) establishes that progesterone signaling through PR is critical for lobuloalveolar morphogenesis. It is, however, to be noted that in wild type mice, because the steady-state level of mammary PR is augmented with estrogen treatment, estrogen can indirectly influence the degree of lobuloalveolar development. ER is apparently not essential for lobuloalveolar development since it can be initiated in mammary glands of ERKO mice. Basal levels of PR are present in the epithelial rudiments of such mice (K. Korach, personal communication). Thus, an important feature distinguishing progesterone sig-naling through PR from estrogen signaling through ER is that only progesterone and PR dependent proliferation of epithelial cells is coupled to lobuloalveolar develop-ment and differentiation of epithelial cells.
Progesterone receptors: in situ localization
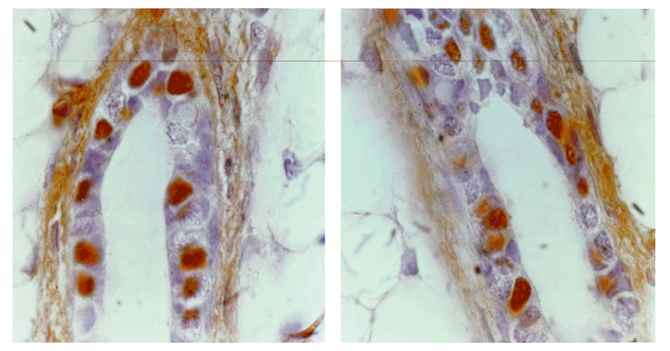
It is well known that mammary ducts are com-posed of a mixture of epithelial cells with distinct morphological and functional lineages one of these, the luminal cells, form the tubular duct become milk-secretory cells. while the second lineage gives rise to myoepithelial cells. During lactation, these cells are responsible for expulsion of milk from the alveoli. Both these lineages are established simultaneously arising from the end buds during puberty (18). It is also well established that almost all aspects of mammary development involve a complex interplay between the epithelial cells and the surrounding fibrous and adipose stroma. Therefore, a prerequisite for delineating the mechanisms responsible for progesterone signaling during mammary development is the identification of the cell types in which PR are expressed. However, due to lack of suitable reagents, until recently the precise cellular localization of PR in mouse mammary glands was unknown. Once the PR cDNA was cloned (19) a highly sensitive antibody directed against mouse PR could be generated (20). Using these two reagents it was possible to examine the pattern of PR expression in mammary glands (20, 21).
Analysis for PR mRNA in the developing mam-mary glands by in situ hybridization (Fig. 2) revealed that a heavy concentration in the end bud cells. The cells in the leading edge of the duct tip give rise indirectly to ductal cells which also contain receptor mRNA (Panel A). Significant levels of receptor mRNA are also detected in the mature duct and the actively growing lateral branch of the duct (Panels B and C). In contrast, there is no detectable expression of PR in the myoepithelial cells (Panel C). Analyses for immu-noreactive PR confirm the pattern of PR gene expression. As shown in Fig. 3A, the localization of immunoreactive receptor is confined to the nuclei of the ductal epithelial cells (Panel i and ii). In contrast to the tissues from wild type mice, the glands of PRKO mice do not exhibit any immunoreactivity (Panel iii) establishing the specificity of the antibody. Immunore-activity is also not detected in tissues from wild type mice, with the deletion of primary antibody (Panel iv).

Figure 2. In situ localization of PR mRNA. (A) Mammary duct end bud. PR mRNA is concentrated in the mass of preluminal cells fated to form the walls of the duct (large arrow) and decrease in the concentration on the flank of the structure (small arrows). Some cap cells, comprising the outermost layer on the end bud tip, also contained signal (curved arrow). The black stain over the epithelium constitutes a positive signal. The lighter blue deposits in the periductal stroma are probably nonspecific since they are sometimes seen with the (+) strand probe. (B) Lateral Branch arising from mature duct (large arrow). Growth of the branch is indicated by its penetration of the periductal fibrous layer (broken line) and the absence of a fibrous investment. PR mRNA is also seen in the subtending duct (small arrow). (C) Mature duct. Luminal cells (large arrowhead) line the lumen (L) and are directly adjacent to the myoepithelium (small arrow; four myoepithelial cells are visible in a vertical array with the arrow pointing to the uppermost cell). (D) Control. Sections of mammary gland hybridized with sense-strand mRNA in which no signal is detected. Sections were counter stained with hematoxylin. [From Silberstein et al. (21).]
Neither in situ hybridization analyses for PR mRNA (20) nor analyses for immunoreactive PR (Fig. 3; Panels i and ii) reveal the presence of PR in the fat pad. This was surprising since we had previously reported that the fat pad contained low levels of PR (22); in these earlier experiments the epithelium had been surgically removed from the intact glands and the de-epi-thelialized fat pad was analyzed for the receptor by biochemical techniques. Indeed, a closer examination of intact mammary glands and epithelial-free fat pad revealed that in addition to the ducts, the fibrous capsule of the mammary glands also contained immunoreactive nuclei (Fig. 3, Panel v). The capsule of the mammary gland in PRKO mice did not exhibit immunoreactivity (Fig. 3, Panel vi) indicating that the staining associated with the capsule was due to the receptor. PR in the fat pad was also undetectable using paraffin embedded sections and an anti-human PR-polyclonal IgG (obtained from DAKO) indicating that it was not due to epitope specificity of a particular antibody or the method used for immunolocalization. Thus it was likely that in previous studies using biochemical assays, the presence of receptor in the fat pad was due to receptor associated with the capsule of the mammary gland and not to the cells of the fatty stroma. These findings are in agreement with previous studies using steroid autoradiography whereby PR was detected only in the mammary epithelium (23, 24). The pattern of PR localization in normal mouse mammary glands is similar to that reported previously for human breast, in which the ductal epithelium was positive for PR while its surrounding connective tissue was free of PR (25).

Figure 3. (opposite) (A) Immunolocaliza tion of PR. PR was detected by indirect immunofluor escence using as primary antibody and a secondary antibody conjugated with flouresein isothiocyanate (FITC). Note that the receptor (green color) is localized in the nucleus [stained blue color with DAPI (4,6-diamidino-2-phenylindole)] and that its presence is heterogeneous within the same duct and between different ducts of the same gland (Panel i, Balb/C; Panel ii, FVB). Panel iii represents the mammary gland of PR null mutant mouse treated identically to the wild type glands shown in Panels A and B. With the deletion of the primary antibody, there was no immunoreactivity (Panel iv). Cells restricted to the capsule surronding the mammary gland displayed staining (Panel v, arrowhead) while the cells of the mammary capsule of PRKO mice did not stain (Panel vi). In all cases, the cells of the adipose fat pad and periepithelial stroma were uniformly negative. (Original magnification: 40X) [From Shyamala et al. (20).] (B) Analyses for the relative amounts of immunoreactive PR in mammary ductal cells. Quantitative digital data of the relative intensity of PR immunofluorescence is displayed as a false color image, as indicated by the color bar (purple is lowest intensity). Panel i: Mammary glands from non-ovariectom ized mice. Panel ii: Mammary glands from ovariectomized mice treated with saline. Panel iii: Mammary glands from ovariectomized mice treated with estradiol. The relative amounts of immunoreactive PR in mammary cells became uniformly low upon ovariectomy and increased to varying degrees in different cells upon estrogen treatment, equivalent to levels seen with intact mice. Also note the absence of immunoreactiv ity in the adipose fat pad and peri-epithelial stroma. (Original magnification: 40X) [From Shyamala et al. (20).]
Overall, two important conclusions can be derived from the observations on in situ localization of PR expression: (1) Expression of PR during a particular physiological state is not necessarily indicative of its participation in mammary development. Thus PR is expressed during ductal morphogenesis despite the fact that it is not required for this phase of development. It is most likely that the PR expression during ductal morphogenesis is indicative of the estrogen respon-siveness of the end bud cells and the newly formed ductal cells. (2) The expression of PR only in the luminal epithelial cells but not in the fat pad of the adult female provides strong evidence that the action of progesterone leading to lobuloalveolar development is initiated in the epithelium and does not require stromal PR. In accordance with this conclusion both ductal and lobuloalveolar morphogenesis has been shown to proceed normally in tissue recombinants consisting of PR negative stroma and PR positive epithelium (26). Thus, the target cells for progesterone leading to lobu-loalveolar development are in the epithelium.
Pr positive cells in mammary epithelium may represent a distinct subset
During pregnancy alveoli grow directly on lateral ducts, and as revealed by studies with PRKO mice, PR are required. PR gene expression is associated with the ducts of the early pregnant female but exhibits a heterogeneous pattern (27). It is striking that studies on immunolocalization of PR also reveal a heterogeneous distribution. In the ducts, both receptor positive and negative cells are present and interestingly, both types of cells can be found adjacent to each other (Fig. 3A; Panels i and ii). Two possibilities can account for the heterogeneous expression of PR in ductal epithelium; only a subpopulation of ductal cells are capable of synthesizing PR reflecting an intrinsic cellular hetero-geneity or varying steady-state levels of receptors arise from an asynchronous population of homogeneous cells. A quantitative analysis of receptor content and distribution revealed that the percentage of PR positive cells in the ducts remained unchanged regardless of the steady-state levels of receptor (Table I; Fig. 3B). There is a positive relationship between the level of immunoreactive receptor within the ductal cells and the relative endogenous steady-state levels of PR present in the whole tissue. However, overall, approximately half of the ductal epithelial cells were receptor positive regardless of its overall steady-state level (Table I). In these experiments, the steady-state levels of PR were manipulated by changing the endogenous estrogen levels. But, the overall percentage of PR positive cells was unaffected by either estrogen treatment or ovariectomy, suggesting that both basal and estrogen induced PR are expressed by the same subset of epithe-lial cells. In human breast, 96% of the epithelial cells which express ER also express PR (28) suggesting once again that basal and estrogen induced PR are expressed in the same cells. Immunocytochemical studies also reveal that PR may be associated with a distinct epithelial sub-type; all receptor positive cells appear to be large pale cells with round nuclei while cells having irregular nuclei and compact chromatin (dark staining cells) are uniformly devoid of receptor (Fig. 4; 21, 27). The large pale cells are believed to represent a more undifferentiated phenotype as compared to dark staining cells which are believed to have undergone terminal differentiation (29-31). These observations strongly argue that only a sub-population of epithelial cells are capable of expressing PR.
Table 1. A Quantitative Analysis of the Distrubution of Progesterone Receptors in Mammary Ductal Cells.


Figure 4. PR is associated predominantly with large light cells in the mammary ducts of adult female mice. PR in the mature duct (two different longitudinal sections) was detected using mouse monoclonal antibody, hPRa7, previously shown to react with murine PR [Shyamala et al. (15)]. The brown color represents the immunostaining-reaction product and is localized in the nucleus. Background staining is hematoxylin. Note that the receptor is localized in cells with large rounded nuclei containing diffuse chromatin and is generally absent in cells with irregular shaped nuclei and compact chromatin. Adapted from Silberstein et al. (21).
As indicated earlier the steady-state level of PR in the mammary glands is under both estrogenic and developmental regulation. As such, PR expression is highest in mammary glands of nulliparous mice, decreasing during pregnancy and undetectable during established lactation (15). Thus, while PR is required for lobuloalveolar development leading to terminal dif-ferentiation of epithelial cells, PR expression is, in fact, lost during the final stage of terminal differentiation to a secretory epithelium. Therefore, it is possible that as the epithelial cells progress toward terminal differentiation there is either an inhibition of PR gene expression or a relative loss of the subset of epithelial cells which have the ability to express PR. Since proliferation and differentiation are often incompatible cellular processes, a loss in PR during mammary development may be essential to achieve terminal differentiation. As such, a precise understanding of the cellular and molecular basis for the modulation of PR gene expression, accom-panying terminal differentiation of mammary glands, can help to identify the potential pathways which couple proliferation and differentiation and hence, their poten-tial derangements in neoplasia.
Regulated expression of pr isoforms is critical for normal mammary development
It is well established that PR exists in two molecu-lar forms commonly referred to as the “A” and “B” forms whose ratio varies among target tissues (14). In mammary glands of adult rodents the ratio of “A” to “B” forms is 3:1 (32). In vitro studies have shown that the “A” and “B” forms can have different functions in the same cell and also that the activity of the individual form of the receptor can vary among different types of cells (33). Furthermore, depending on the cell, the “A” form can either inhibit or enhance the activity of the “B” form of receptor (33). Based on these observations, it is believed that appropriate cellular responsiveness to pro-gesterone is dependent on regulated expression and/or activity of the two forms of PR (34). Therefore, an aber-ration in normal mammary development can result from inappropriate progesterone signaling due to an imbal-ance in the expression and/or activities of the two forms of PR. The imbalance, in turn, could have implications for mammary carcinogenesis. Indeed, in transgenic mice (referred to as PR-A transgenics) with an imbalance in the native ratio of A:B forms of PR, due to introduction of additional “A” form as transgene, mammary development is abnormal (35).
An overall comparison of mammary glands between 5-to 6-week-old pre-pubertal PR-A transgenics and their wild type counterparts did not reveal any major differences. However, upon ovariectomy, while the end buds in the mammary glands of control mice regressed, (indicating a cessation of growth), the end buds of transgenic mice persisted for some time. The degree of persistence was variable among individual PR-A transgenic mice but upon prolonged ovariectomy, in all mice, end buds did disappear. Furthermore, some of the presumptive end buds in PR-A transgenic mice had a reverse orientation, i.e., turning away from the growing tip of the glands despite the availability of stroma for further extension. Histological analyses revealed that some of these putative end buds had unusual structures and in some, a detachment of cap cells was also apparent (35).
Whole mount analyses of mammary glands of young adult mice (10-14 weeks), revealed that the glands of adult PR-A transgenics had extensive lateral branching and also contained some very thick ducts (Fig. 6; compare Panels B and C to control Panel A). The extensive lateral branching from mature secondary ducts sometimes resulted in a gland resembling that of an early pregnant female (Panel B); but often, the lateral branches terminated in bulbous structures. Peculiar morphology was also apparent at the tips of the ducts of transgenic mice where the buds clustered compared with the smooth structure characteristic of normal terminal ducts.

Figure 6. (opposite) Morphological and histological characteristics of mammary glands in adult PR-A transgenic mice. Panels A, B, and C show wholemounts and Panels D±F show histology of mammary glands from young (10±14 week old) control PR-A transgene negative (A and D) and PR-A transgenic mice (Panel B, C, E, and F). In Panels B and C open arrows show thickened ducts while closed arrow shows clustered buds at the tip of ducts. In Panel F, the arrow points to an indistinct epithelial-stromal boundary with a disorganized cell mass at the tip of a duct. [Adapted from Shyamala et al. (35).]
Histological analysis revealed that the glands of PR-A transgenic mice contained ducts composed of multilayered luminal cells, in contrast to the monolayer associated with the normal ducts (Fig. 6; compare Panels E and F with Panel D). The increased budding becomes readily apparent when similar lengths of duct from control and transgenic mice are compared (compare, Panel D with Panel E). Multiple branched out-growth consisting of disorganized masses of epithelial cells are also seen at the tip of some ducts accompanied by an indistinct epithelial-stromal boundary (Panel F) suggesting a disruption of the basement membrane and detachment of these cells from the duct. These observations provide, for the first time, in vivo evidence that a regulated expression of the two isoforms of PR is critical for appropriate responsiveness to progesterone and for maintaining epithelial cell replicative homeostasis.
Inappropriate signaling through pr results in loss of basement membrane integrity
In normal mouse mammary glands during puberty, the end bud body cells (which give rise to ductal cells) express E-Cadherin; exposure to anti-E-Cadherin antibodies causes a disorganization of ductal epithelial cells and their detachment (36). Similarly, a decreased expression of E-Cadherin by human mammary epithelial cells has been associated with a reduced ability to undergo morphogenesis in vitro (37). Since cadherins are cell adhesion molecules and play an important role in cell-cell and also in cell-matrix interactions (38), it was possible that the disruption in the architecture of mammary glands in PR-A transgenic mice was the result of a derangement in the mechanisms regulating normal cell-cell adhesion and cell-matrix interactions. Indeed, immunostaining for E-Cadherin and laminin in mammary glands of PR-A transgenics revealed discontinuous staining of laminin at the base of epithelial cells, indicative of a disruption in the basement membrane (Fig. 5, compare Panel A with Panel B). Similarly, immunoreactive E-Cadherin also exhibit a disorganized pattern of expression (Fig. 5, Panel D) while in the glands of control transgene negative mice, E-Cadherin is present in an organized manner outlining the epithelial cells (Fig. 5, Panel C).

Figure 5. Immunolocalization of E-Cadherin and laminin in mammary glands of PR-A transgenic mice. Laminin immuoreactivity (A, B: green color; nuclei are blue) in mammary duct cross-sections circumscribes the mammary epithelium of transgene negative mice (Panel A) but is discontinuous and decreased in the mammary gland of PR-A transgenic mice (Panel B). Cadherin immunoreactiv ity (green color) delineates the epithelial cells in this branching duct of transgene negative mice (Panel C) but is greatly diminished and disorganized in the epithelium of PR-A transgenic mice (Panel D). [From Shyamala et al. (35).]
Mammary epithelial cells proliferate by invading the surrounding fat pad which by necessity requires a disruption and remodeling of basement membrane. Yet, during pregnancy, when there is an extensive epi-thelial cell proliferation and lateral branching of ducts, apparently the basement membrane remains intact (39). As such, remodeling of basement membrane must be an integral part of normal epithelial cell proliferation and hence, development. In fact, when there is an inhibition in the deposition of extracellular matrix (ECM) normal mammary development is disrupted (40). In transgenic mice overexpressing stromelyin-1, a matrix degrading proteinase, there is abnormal mammary development and tumor formation (41). Similarly, in PR-A transgenics a disruption in the orga-nization of the basement membrane and a decrease in cell-cell adhesion is accompanied by abnormal mor-phology. Since the problem in PR-A transgenics is inappropriate signaling through PR, it is reasonable to speculate that appropriate signaling through PR is essential to maintain basement membrane integrity in mammary glands. This speculation does not imply that, in general, PR is essential for remodeling of basement membrane because during established lactation, when there is undetectable levels of PR, basement membrane integrity is maintained. Similarly, in PRKO mice there is no loss in the integrity of the basement membrane (our unpublished observation). Furthermore, remodeling of basement membrane is a universal characteristic associated with many cell types and not just target cells for progesterone and PR. Therefore, it may be that progesterone signaling through PR is involved in the remodeling of basement membrane but only during those physiological states in which progesterone signaling through PR results in epithelial cell proliferation. In this regard it is to be noted that in human breast, during the menstrual cycle, epithelial cells proliferate during progesterone dominant luteal phase (42, 43) and basement membrane proteins also change their distribution (44).
Regulation of progesterone signaling by microenvironment
The importance of mammary fat pad for proper epithelial growth and morphogenesis was demonstated initially be DeOme et al. (45). Since then, there is an extensive documentation that stroma is necessary to elicit optimal mammary epithelial growth and differ-entiation. Recent studies, particularly with human breast suggest that in addition to stromal-epithelial interactions, interaction among epithelial cells may also be critical for epithelial cell proliferation. Therefore, to the extent that progesterone signaling plays a crucial role in mammary gland development, microenvironment can be expected to play an important role in mammary gland responsiveness to progesterone. Studies on PR-A transgenic mice also indicate that cell-matrix and cell-cell interactions may play a pivotal role in proper signaling through PR. However, to precisely understand the role of microenvironment and hence its relative importance in progesterone signaling, it is necessary to determine whether the microenvironment plays an inductive or a permissive role.
It is generally accepted while estrogen and pro-gesterone are essential for triggering epithelial cell proliferation, their actions are mediated through growth factors and growth factor receptors. In support of this, beginning with the observations on epidermal growth factor (EGF) (46), at present several exogenously administered growth factors have been shown to promote mammary development in vivo. Similarly, both estrogen and progesterone have been shown to modulate growth factor/growth factor receptor mediated pathways. However, with few exceptions, the involvement of progesterone in growth factor/growth factor receptor mediated pathways have been docu-mented in mammary tumor cells in culture and the validity of extending these observations to normal mammary gland morphogenesis is yet to be established (47). Furthermore, while several markers for progester-one responsiveness have been identified in mammary tumor cells, with the exception of PR, targets specific for progesterone action in normal mammary glands have not been well defined (47). As a result, at present, the precise interactions between progesterone signaling and growth factor signaling pathways are poorly understood. Therefore, only a limited discussion has been attempted on the potential role of stroma in progesterone signaling, using selected examples.
Stroma can influence progesterone responsiveness in mammary glands in a fundamental manner due to the pivotal role played by ECM in epithelial growth and differentiation, as demonstrated in the pioneering studies by Emerman and Pitelka (48). Indeed, expression of several mammary specific genes is maintained at a higher level when epithelial cells are cultured on appropriate substrata because of their ability to mimic the in vitro stroma and promote the synthesis and deposition of ECM by epithelial cells (49). Consistent with this concept in the presence of mammary stromal fibroblasts, the levels of epithelial PR are maintained at a higher level in cell culture (49). Stroma can also influence progesterone dependent epithelial cell proliferation through stromally-derived growth factors. An excellent example of a stromally derived growth factor shown to act in synergism with progesterone and mediate mammary development in vivo is keratinocyte growth factor (KGF). KGF is secreted by stromal cells but has an effect only on epithelial cell proliferation (51). KGF is expressed in mammary stroma (51, 53), its expression changes during postnatal growth of mammary glands (54) and KGF promotes mammary epithelial cell proliferation (55). However, KGF expression is not affected by progesterone; instead the expression of its receptor, KGFR, which resides in the epithelial cells is augmented by progesterone (56). Another stromal growth factor shown to mediate mammary development in vivo, in synergism with progesterone, is heregulin (HRG). HRG is expressed within the mammary mesenchyme and promotes lobuloalveolar development (57) and this effect is potentiated by estrogen and progesterone (58). HRG can activate epidermal growth factor (EGF) receptor (59) and progestins can regulate the synthesis of EGF receptor in normal mammary gland (60). These observations suggest that progesterone signaling primes the epithelial cells to respond to stromally derived growth factors. This speculation is supported by cell culture studies whereby the requirement for progesterone has been shown to persist even when growth factors are added to the cell culture medium (61). However, progesterone alone can stimulate normal mammary epithelial cell proliferation when cultured in a serum free medium and in the absence of stromal cells (61) demonstrating that the inductive phase of progesterone dependent epithelial cell proliferation does not require stromal participation.
Overall, from in vivo studies, cell culture studies and pattern of PR expression, the nature of stromal-epithelial interactions in progesterone dependent mam-mary epithelial cell proliferation can be summarized as follows. (a) Progesterone signaling, mediated through PR, is initiated in the epithelial cells. Progesterone signaling is essential for responsiveness to growth factors secreted by the stroma. (b) Stroma is not essential for the inductive phase of progesterone dependent epithelial cell proliferation. (c) Stroma can influence progesterone dependent epithelial cell proliferation through both growth factor and ECM dependent pathways.
Finally, it is to be noted that in normal mammary tissues of both humans and mice, PR negative cells have been shown to be capable of proliferation (26, 28, 62, 63) and interestingly, these PR negative cells are often found adjacent to PR positive cells. In contrast to normal tissues, in mammary tumors, PR is associated with proliferating cells (62). These observations clearly suggest that independent of any stromal-epithelial interactions, interactions among epithelial cells may also be crucial for progesterone signaling.
Conclusions
Extensive studies spanning more than two decades have clearly established that the developmental biology of mammary glands is very complex involving interactions between several hormones and cell types. In the case of progesterone, although identified as a mammogen in the late fifties, it has been difficult to characterize responses that are specifically due to progesterone and not estrogen signaling. As discussed in this review, with the generation of ERKO, PRKO and PR-transgenic mice and the development of suitable reagents for analysis of PR expression in mouse mammary glands, the potential importance and specific role of PR in mammary development is becoming more clear. An important theme to emerge from these recent studies is that both the expression of PR and the net outcome of progesterone signaling through PR is to drive the epithelial cells towards a more differentiated state. The overall effect is very much dependent on the cell context and its fate during morphogenesis. The observation that down regulation of PR accompanies secretory differentiation in normal mouse mammary glands raises the possibility that one of the keys for switching the epithelial cells from a proliferative to a secretory state may, in fact, be the loss of PR expression, regardless of the mechanism underlying its loss, i.e., whether proliferation is induced in PR positive cells which then lose PR or PR induces proliferation in neighboring PR negative cells by a paracrine mechanism. Therefore, there is a need to understand fully the molecular basis underlying PR gene expression in mammary epithelial cells and the fate of the PR positive cells during development. Such studies are fundamental for understanding the mechanisms by which progesterone signaling leads to epithelial cell proliferation and/or differentiation.
In addition to PRKO mice, lobuloalveolar devel-opment is also impaired in several other transgenic settings (64). At least in one such model, the Cyclin D1 null mutant mouse (47), PR expression does not appear to be compromised. It was demonstrated several years ago that the augmentation in epithelial cell proliferation due to progesterone was due to an increase in the number of epithelial cells entering the cell cycle (4). Therefore, it is likely that in transgenic mice other than PRKO mice, impairment in lobuloalveolar development results from arrests in downstream effects of progesterone signaling. As such, the various transgenic models which exhibit impaired lobuloalveolar devel-opment can serve as powerful tools to examine the precise molecular basis underlying progesterone signaling leading to proliferation and differentiation. Furthermore, at present it is well accepted that steroid receptors can elicit both genomic and nongenomic effects (66, 67). Therefore, to fully understand the molecular basis for progesterone nongenomic effects of PR also need to be considered.
The pattern of PR expression is similar between the mouse and human mammary glands i.e. in both species, PR is expressed in the epithelial cells in a heterogeneous fashion and is undetectable in the stroma. It appears that in both species, a paracrine mechanism involving interactions among epithelial cells may play a role in PR signaling. In certain human mammary tumors the ratio of A:B forms of PR is altered but the precise significance of this observation is not clear (68). In PR-A transgenic mice, altered expression of A and B forms results in mammary dysplasias. Therefore, it is possible that subtle alterations in patterns of PR expression may ultimately lead to gross alterations in progesterone signaling; this, in turn, may lead to an impairment in mechanisms underlying differentiation and hence, trigger carcino-genesis. As such, observations on progesterone signaling through PR using mouse as an experimental model can now be extrapolated to the human breast with greater confidence, especially as they pertain to differentiation of epithelial cells. This is a significant advantage since by necessity only limited in vitro experiments can be performed with normal human breast. Furthermore, various genetic manipulations can be easily performed with mice.
Another important area of research which needs further exploration is the elucidation of mechanisms which underlie the potential cross talk between ER and the two isoforms of PR. In vitro studies have demonstrated that PR can inhibit ER action depending on cellular context (69-71). Recently it has also been demonstrated that progestin dependent proliferation of human breast cancer cells involves a cross-talk between ER and PR (72). Since, ultimately, normal mammary morphogenesis requires both signaling through estrogen/ER and progesterone/PR, studies on mechanisms underlying the cross-talk between ER and PR and its isoforms can contribute significantly to our current understanding of the mechanisms underlying normal mammary development and its derangement in neoplasia. In addition, they may also help to devise strategies for inducing differentiation in transformed cells and hence, reverse the tumor phenotype.
Acknowledgements
These studies were supported by NIH grant CA66541. Ms. Alicia Sheppard and Mr. Hong Ky Vo provided excellent assistance in the preparation of the manuscript.
References
D.C. Fernig and J.A. Smith (1991). Regulatory mechanisms in breast cancer. In M. Lippmann and R. Dickson (eds.), Cancer Treatment and Research, Kluwer Academic Press, pp. 47-77. R.D. Cardiff (1998).
Are the TDLU of the human the same as the LA of mice? J. Mam. Gland Biol. Neoplasia 3:3-5.
S. Nandi (1958). Endocrine control of mammary gland develop-ment and function in C3H/Crgl mouse. J. Natl. Cancer Inst. 21:1039-1063.
Y.S. Topper and C.S. Freeman (1980). Multiple hormone inter-actions in the developmental biology of the mammary gland. Physiol. Rev. 60:1049.
C.W. Daniel and G.B. Silberstein (1987). Postnatal development of the rodent mammary gland. In M.C. Neville, C.W. Daniel (eds.), The Mammary Gland: Development, Regulation and Function, Plenum Press, New York, pp. 3-36.
S. Nandi, R.C. Gazman, and J.C. Yang (1995). Hormones and mammary carcinogenesis in mice, rats and humans: A unifying hypothesis. Proc. Natl. Acad. Sci. U.S.A. 92:3650-3657.
F. Bresciani (1968). Topography of DNA synthesis in mammary gland of the C3H mouse and its control by ovarian hormones: An autoradiographic study. Cell Tissue Kinetics 1:51-63.
C.W. Daniel, G.R. Silberstein, and P. Strickland (1987). Direct action of 17-beta estradiol on mouse mammary ducts analysed by sustained release implants and steroid autoradiography. Can-cer Res. 47:6052-6057.
G.B. Silberstein, K. Van Horn, G. Shyamala, and C.W. Daniel (1994). Essential role of endogenous estrogen in directly stimu-lating mammary growth demonstrated by implants containing pure antiestrogens. Endocrinology 134: 84-90.
R.R. Ichinose and S. Nandi (1966). Influence of hormones in lobulo alveolar differentiation of mouse mammary glands in vitro. J. Endocrinol. 35:331-340.
J. Russo and I.H. Russo (1995). The etiopathogenesis of breast cancer prevention. Cancer Lett. 90:81-89.
J. Russo and I.H. Russo (1996). Experimentally induced mam-mary tumors in rats. Breast Cancer Res. Treat. 39:7-20.
D. J. Mangelsdorf, C. Thummel, M. Beato, P. Herrlich, G. Schutz, K. Umesono, B. Blumberg, P. Kastner, M. Mark, P. Chambon, and R.M. Evans (1995). The nuclear receptor superfamily: The second decade. Cell 83:835-839.
M.J. Tsai and B.W. O’Malley (1994). Molecular mechanisms of action of steroid/thyroid receptor superfamily members. Ann. Rev. Biochem. 63:451-486.
G. Shyamala, W. Schneider, and D. Schott (1990). Developmental regulation of murine mammary progesterone receptor gene expression. Endocrinology 126:2882.
J.P. Lydon, F.J. DeMayo, C.R. Funk, S.K. Mani, A.R. Hughes, C.A. Montgomery, Jr., G. Shyamala, O.M. Conneely, and B.W. O’Malley (1995). Mice lacking progesterone receptor exhibit pleiotropic reproductive abnormalities. Genes Dev. 9:2266-2278.
W.P. Bocchinfuso and K.S. Korach (1997). Mammary gland development and tummorigenesis in estrogen receptor knockout mice. J. Mam. Gland Biol. Neoplasia 2:323-334.
J.M. Williams and C.W. Daniel (1983). Mammary ductal elon-gation: Differentiation of myo-epithelium and basal lamina during branching morphogenesis. Dev. Biol. 97:274-290.
D.R. Schott, G. Shyamala, W. Schneider, and G. Parry (1991). Molecular cloning, sequence analyses and expression of com-plementary DNA encoding murine progesterone receptor. Bio-chemistry 30: 7014-7020.
G. Shyamala, MH. Barcellos-Hoff, D. Toft, and X. Yang (1997). In situ localization of progesterone receptors in normal mouse mammary glands: Absence of receptors in connective and adipose stroma and heterogeneous distribution in the epithelium. J. Steroid Biochem. Mol. Biol. 63:251-259.
G.B. Silberstein, K. Van Horn, G. Shyamala, and C.W. Daniel (1996). Progesterone receptors in the mouse mammary duct: Distribution and developmental regulation. Cell Growth Differ. 7:975-952.
S. Z. Haslam and G. Shyamala (1981). Relative distribution of estrogen and progesterone receptors among the epithelial, adipose and connective tissue components of the mammary gland. Endocrinology 108: 825-830.
W. Stumpf and M. Sar (1976). Autoradiographic localization of estrogen, androgen, progestin, and glucocorticostero id in “target tissues” and “nontarget tissues.” In J. Pasqualini (ed.), Receptors and Mechanisms of Action of Steroid Hormones, Marcel Dekker Inc., New York, pp. 41-84.
M. Warembourg (1983). Progestagen-concentrating cells in the brain, uterus, vagina and mammary glands of galago (Galago senegalensis ). J. Reprod. Fertil. 68:189-193.
M.F. Press and G.L. Greene (1988). Localization of progesterone receptor with monoclonal antibodies to human progestin receptor. Endocrinology 122:1165-1175.
C. Brisken, S. Park, T. Vass, J.P. Lydon, B.W. O’Malley, and R.A. Weinberg (1998). A paracrine role for the epithelial pro-gesterone receptor in mammary gland development. Proc. Natl. Acad. Sci. U.S.A. 95:5076-5081.
G. Shyamala (1997). Roles of estrogen and progesterone in normal mammary gland development: Insights from progesterone receptor null mutant mice and in situ localization of receptor. Trends Endocrinol. Metabol. 8(1):34—39.
E. Anderson, R.B. Clarke, and A. Howell (1998). Estrogen responsiveness and control of normal human breast proliferation. J. Mam. Gland Biol. Neoplasia 3:37-48.
G.H. Smith and D.A. Medina (1988). A morphologically distinct candidate for an epithelial stem cell in mouse mammary gland. J. Cell. Sci. 89:173-183.
G.H. Smith (1996). Experimental mammary epithelial morpho-genesis in an in vivo model: Evidence for distinct cellular progenitors of the ductal and lobular phenotype. Breast Cancer Res. Treat. 38:21-31.
G. Chepko and G.H. Smith (1997). Three division-competent, structurally-d istinct cell populations contribute to murine mam-mary epithelial renewal. Tissue Cell 29:239-253.
W. Schneider, C. Ramachandran, P.G. Satyaswaroop, and G. Shyamala (1991). Murine progesterone receptor exists predom-inantly as the 83-kilodalton “A” form. J. Steroid Biochem. Mol. Biol. 38:285-291.
E. Vegeto, M.M. Shahbaz, D.X. Wen, M.E. Goldman, B.W. O’Malley, and D.P. McDonnell (1993). Human progesterone receptor A form is a cell-and promoter-specific repressor of human progesterone receptor B function. Mol. Endocrinol. 7(10): 1244-1255.
D.P. McDonnell (1995). Unraveling the human progesterone receptor signal transduction pathway: Insights into anti-progestin action. Trends Endocrinol. Metabol. 6:133-138.
G. Shamala, X. Yang, G.B. Silberstein, M.H. Barcellos-Hoff, and E. Dale (1998). Transgenic mice carrying an imbalance in the native ratio of A to B forms of progesterone receptor exhibit developmental abnormalities in mammary glands. Proc. Natl. Acad. Sci. U.S.A. 95:696-701.
C.W. Daniel, P. Strickland, and Y. Friedmann (1995). Expression and functional role of E-and P-cadherins in mouse mammary ductal morphogenesis and growth. Dev. Biol. 169 (2): 511-519.
B. D’souza and J. Taylor-Papadimitriou (1994). Overexpression of ERBB2 inhuman mammary epithelial cells signals inhibition of transcription of the E-cadherin gene. Proc. Natl. Acad. Sci. U.S.A. 91(15):7202-7206.
M. Takeichi (1988). The cadherins: Cell-cell adhesion molecules controlling animal morphogenesis. Development 102(4):639-655.
M.J. Warburton, D. Mitchell, E.J. Ormerod, and P. Rudland (1982). Distribution of myoepithelial cells and basement mem-brane proteins in the resting, pregnant, lactating, and involuting rat mammary gland. J. Histochem. Cytochem. 30: 667-676.
M.S. Wicha, L.A. Liotta, B.K. Vonderhaar, and W.R. Kidwell (1980). Effects of inhibition of basement membrane collagen deposition on rat mammary gland development. Dev. Biol. 80:253-256.
C.J. Sympson, M.J. Bissell, and Z. Werb (1995). Mammary gland tumor formation in transgenic mice overexpressing stro-melysin-1. Sem. Cancer Biol. 6:159-163.
D.J.P. Ferguson and J.J. Anderson (1981). Morphological eval-uation of cell turnover in relation to the menstural cycle in the “resting” human breast. Brit. J. Cancer 44:177-181.
J.J. Going, J.J. Anderson, S. Battersby, and C.C.A. Macintyre (1988). Proliferative and secretory activity of human breast during natural and artificial menstrual cycles. Am. J. Pathol. 130:193-204.
J. E. Ferguson, A.M. Schor, A. Howell, and M.W. Ferguson (1992). Changes in the extracellular matrix of the normal human breast during the menstrual cycle. Cell Tissue Res. 268:167-177.
K.B. DeOme, L.J. Faulkin, H.A. Bern, and P.B. Blair (1959). Development of mamamry tumors from hyperplastic alveolar nodules transplanted into gland-free mamamry fat pads of female C3H mice. Cancer Res. 19:515.
S. Coleman, G.b. Silberstein, and C.W. Daniel (1988). Ductal morphogensis in the mouse mammary gland: Evidence support-ing a role for epidermal growth factor. Dev. Biol. 127:304-315.
J.D. Graham and C.L. Clarke (1997). Physiological action of progesterone in target tissues Endocrine Rev. 18:502-519.
J.I. Emerman and D.R. Pitelka (1977). Maintenance and induction of morphological differentiation in dissociated mammary epithelial cells by floating collagen membranes. In vitro 13:316-328.
M.H. Barcellos-Hoff and M.J. Bissell (1989). Mammary epithelial cells as a model for studies of the regulation of gene expression. In A.R. Liss (ed.), Functional Epithelial Cells in Culture, Alan R. Liss, Inc., pp. 399-433.
S.Z. Haslam and M.L. Levely (1985). Estrogen responsiveness of normal mouse mammary cells in primary cell culture: Asso-ciation of mammary fibroblasts with estrogenic regulation of PgR. Endocrinology 116:1835-1844
J. Rubin, H. Osada, P. Finch, W. Taylor, S. Rudikoff, and S. Aaronson (1989). Purification and characterization of newly identified growth factor specific for mammary epithelial cells. Proc. Natl. Acad. Sci. U.S.A. 86:802-806.
T. Ulich, E. Yi, R. Cardiff, S. Yin, N. Bikhaze, R. Biltz, C. Morris, and G. Pierce (1994). Keratinocyte growth factor for mammary epithelium in vivo. Am. J. Pathol. 144:862-868.
S. Wilson, J. Weng, E. Chwang, L. Gollahan, A. Leitch, and J. Shay (1994). Hepatocyte growth factor (HGF), keratinocyte growth factor (KGF) and their receptors in human breast cells and tissues. Cell Mol. Biol. Res. 40:333-350.
S. Coleman-Kranick and J. Rosen (1994). Differential temporal and spatial gene expression of fibroblast growth factor family members during mouse mammary gland development. Mol. Endocrinol. 8:218-229.
W. Imagawa, G. Cunha, P. Young, and S. Nandi (1994). Kera-tinocyte growth factor and acidic fibroblast growth factor are mitogens for primary cultures of mammary epithelium. Bio-chem. Biophys. Res. Comm. 204:1165-1169.
V.K. Pedchenko and W.T. Imagawa (1998). Mammogenic hor-mones differentially modulate keratinocyte growth factor (KGF)-induced proliferation and KGF receptor expression in cultured mouse mammary gland epithleium. Endocrinology 139:2519-2526.
Y. Yang, E. Spitzer, D. Meyer, M. Sachs, C. Niemann, G. Harmann, K.M. Weidner, C. Birchneier, and W. Birchneier (1995). Sequential requirement of hepatocyte growth factor and neuregulin in morphogenesis and differentiation of the mammary gland. J. Cell Biol. 131: 215-226.
F.E. Jones, D.J. Jerry, B.C. Guarino, G.C. Andrews, and D.F. Stern (1996). Heregulin induces in vivo proliferation and differ-entiation of mammary epithelium into secretory lobuloalveoli. Cell Growth Differ. 7:1031-1037.
D.J. Riese II, J.M. Van Raaiji, G.D. Plowman, G.C. Andrews, and D.F. Stern (1995). Cellular response to neuregulins is governed by complex interactions of the erbp receptor family. Mol. Cell. Biol. 15:5770-5776.
S.Z. Haslam, L.J. Counterman, and K.A. Nummy (1992). EGF receptor regulation in normal mouse mammary glands. J. Cell Physiol. 152:553-557.
W. Imagawa, G.K. Bandyopadhyay, and S. Nandi (1990). Regu-lations of mammary epithelial cell growth in mice and rats. Endocrine Rev. 11:494-523.
R.B. Clarke, A. Howell, C.S. Patten, and E. Anderson (1997). Dissociation between steroid receptor expression and cell pro-liferation in the human breast. Cancer Res. 57:4987-4991.
J. Russo, X. Ao, C. Grill, and I.H. Russo (1998). Pattern of distribution of cells positive for estrogen receptor a and progesterone receptor in relation to proliferating cells in the mammary gland. Breast Cancer Res. Treat. (in press).
L. Hennighausen and G.W. Robinson (1998). Think globally, act, locally: The making of a mouse mammary gland. Genes Dev. 12:449-455.
P. Sicinski, J.L. Donaher, S.B. Parker, T. Li, A. Fazeli, H. Gardner, S.Z. Haslam, R.T. Bronson, S.J. Elledge, and R.A. Weinberg (1995). Cyclin Dj provides a link between development and oncogenesis in the retina and breast. Cell 82:621-630.
S.M. Aronica, W.L. Krauss, and B.S. Katzenellenbogen (1994). Estrogen action via the cAMP signaling pathway: Stimulation of adenylate cyclase and CAMP regulated gene transcription. Proc. Natl. Acad. Sci. U.S.A. 91:8517-8521.
M. Beato, P. Herrlich, and G. Schultz (1995). Steroid hormone receptors: Many actors in search of a plot. Cell 83:851-857.
J.D. Graham, C. Yeates, R.L. Balleine, S.S. Harvey, J.S. Milliken, M. Bilous and C.L. Clarke (1995). Characterization of progesterone receptor A and B expression in human breast cancer. Cancer Res. 55:5063-5068.
D.P. McDonnell and M.E. Goldman (1994). RU486 exerts antiestrogenic activities through a novel progesterone receptor A form-mediated mechanism. J. Biol. Chem. 269: 11945-11949.
D. Chalbos and F. Galtier (1994). Differential effect of forms A and B of human progesterone receptor on estradiiol-dependent transcription. J. Biol. Chem. 269:23007-23012.
W.L. Krauss, K.E. Weis, and B.S. Katzenellenbogen (1995).Inhibitory cross-talk between steroid hormone receptors: Dif-ferential targeting of estrogen receptor in the repression of its transcriptional activity by agonist and antagonist occupied progesterone receptors. Mol. Cell Biol. 15: 1847-1857.
A. Migliaccio, D. Piccolo, G. Castoria, M. DiDomenico, A. Bilancio, M. Lombardi, W. Gong, M. Beato, and F. Auricchio (1998). Activation of the Src/p21ras/Erk pathway by progesterone receptor via cross-talk with estrogen receptor. EMBO J. 17:2008-2018.