Margrita H. Slagter, Louis J.G. Gooren, Andreas Scorilas, Constantina D. Petraki, and Eleftherios P. Diamandis
Department of Endocrinology, Free University Medical Centre, Amsterdam, The Netherlands (MHS,LJGG); Department of Biochemistry and Molecular Biology, Faculty of Biology, University of Athens, Athens, Greece (AS); Department of Pathology, Evangelismos Hospital, Athens, Greece (CDP); Department of Pathology and Laboratory Medicine, Mount Sinai Hospital, Toronto, Ontario, Canada (EPD); and Department of Laboratory Medicine and Pathobiology, University of Toronto, Toronto, Ontario, Canada (EPD).
Correspondence to: Dr. E.P. Diamandis, Department of Pathology and Laboratory Medicine, Mount Sinai Hospital, 600 University Avenue, Toronto, ON, M5G 1X5, Canada; E-mail: ediamandis@mtsinai.on.ca.
Summary
Our aim was to examine the effects of androgen administration on breast tissue histology of female-to-male transsexuals and to study the immunohistochemical expression of three human tissue kallikreins, hK3 (PSA), hK6, and hK10. We studied 23 female-to-male transsexuals who were treated with injectable testosterone for 18-24 months. We also used 10 control female breast tissues. All tissues were fixed in buffered formalin, embedded in paraffin, and examined by hematoxylin-eosin staining and immunohistochemical staining for PSA, hK6, and hK10. Females treated with androgens exhibited similar involutionary changes as those seen in breast of menopausal women, such as marked reduction of glandular tissue, involution of the lobuloalveolar structures, and prominence of fibrous connective tissue, but presence of only small amounts of fat tissue. Fibrocystic lesions were generally not observed. In immunohistochemistry, in control breast tissues, we found moderate to strong cytoplasmic immunoexpression of hK6 and hK10 in the epithelial ductal and lobuloalveolar structures, but myoepithelial cells were negative. Luminal secretions were also positive. In menopausal breast, the immunoexpression of hK6 and hK10 was weaker and focal. No control case showed immunoexpression for PSA. In female-to-male transsexuals, one case showed focal PSA cytoplasmic immunoexpression in the epithelium of moderately involuting lobules. Long-term administration of androgens in female-to-male transsexuals causes marked reduction of glandular tissue and prominence of fibrous connective tissue. These changes are similar to those observed at the end-stage of menopausal mammary involution. (J Histochem Cytochem 54:905-910, 2006)
KEY WORDS : transsexuals hormones breast tissue immunohistochemistry
Introduction
THE PHYSIOLOGICAL ROLE OF ANDROGENS in women and the potential benefits of androgen replacement in ovari- ectomized or postmenopausal women are receiving increasing attention (Bachmann et al. 2002; Davison and Davis 2003; Rivera-Woll et al. 2004). Androgen treatment of women is, however, encountered with some reservation in view of the potential virilizing effects and the deleterious effects androgens are thought to have on cardiovascular risk and the potential of development and progression of hormone-dependent cancers, such as breast cancer in postmenopausal women (Key et al. 2002; Davison and Davis 2003; Missmer et al. 2004). Regarding the breast, accumulating evidence indicates that androgens might, in fact, protect against the development or progression of breast cancer (Labrie et al. 2003). Additionally, in women with polycystic ovarian syndrome, a condition accompanied by high circulating androgens, the risk of developing postmenopausal breast carcinoma is not increased (Anderson et al. 1997; Balen 2001). Three earlier studies reported findings of androgen effects on breast tissue (Futterweit and Schwartz 1988; Sapino et al. 1990; Burgess and Shousha 1993). The effects of androgens on breast tissue in these studies vary strongly from one subject to another: most subjects exhibit intralobular fibrous stroma and some extralobular fibrous stroma and approximately half exhibit lobular atrophy. Because the literature is still inconclusive, more research on the exogenous effects androgens on breast tissue is necessary.
Human tissue kallikreins are members of a multigene family that includes 15 genes (KLK1-KLK15 for genes, hK1-hK15 for proteins), all located on chromosome 19q13.4 (Yousef and Diamandis 2001; Borgono et al. 2004; Borgono and Diamandis 2004). All kallikreins, except hK2 and hK3, which are almost prostate tissue-specific, are expressed in many normal, mainly glandular tissues, among them the breast epithelium (Black and Diamandis 2000; Diamandis et al. 2000; Yousef and Diamandis 2001; Borgono et al. 2004; Borgono and Diamandis 2004; Clements et al. 2004). We previously examined the immunohistochemical expression (IE) of some hKs in normal and pathologic human tissues (Howarth et al. 1997; Petraki et al. 2001,2002,2003). There are suggestions that some kallikreins may function as tumor suppressors and that they are downregulated during breast cancer progression (Goyal et al. 1998; Yousef et al. 2000,2002; Dhar et al. 2001).
We examine here the effects of androgen adminis-tration on breast tissue histology of female-to-male transsexuals and on IE of hK3 (PSA), hK6, and hK10.
Materials and methods
Patients and Tissue Samples
Twenty-three female-to-male transsexuals were included in this study. All subjects were treated with injectable testosterone esters every 2 weeks (Sustanon-250; Organon, Oss, The Netherlands), for 18-24 months before radical mastectomy was performed. As controls, we used 10 female breast tissues free of any disease (3 in proliferative phase, 4 in secretory phase, and 3 in menopause). All breast tissues were fixed in buffered formalin and paraffin-embedded tissue sections, 4 mm thick, were used for hematoxylin-eosin staining and the performance of the immunohistochemical staining for PSA, hK6, and hK10
Immunohistochemistry
The streptavidin-biotin-peroxidase protocol, using the DAKO LSAB+Kit Peroxidase, was performed (DAKO; Mississauga, ON, Canada). A monoclonal antibody for PSA (MONOSAN 1:40) and specific polyclonal antibodies for hK6 (1:150) and hK10 (1:150), raised by immunizing rabbits with full-length recombinant hK6 (produced in mammalian cells) and hK10 (produced in yeast), respectively, were used. Staining procedures included deparaffinization in warm xylene for 5 min with two changes of xylene at room temperature, followed by rehydration by transfer through graded alcohols. Endogenous peroxidase activity was blocked with 0.5% H2O2 in methanol for 10 min. The sections were pretreated with 10 mmol/L citrate buffer (pH 6.1) in microwave for 5 min and incubated overnight at 4C with the primary antibodies in 3% BSA. After two washes of the sections in 50 mM Tris buffer (pH 7.6), the biotinylated link (DAKO Corporation) was applied for 15 min and a streptavidin- peroxidase conjugate followed for another 15 min. The enzymatic reaction was developed in a freshly prepared solution of 3,3'-diaminobenzidine tetrahydrochloride using DAKO Liquid DAB Substrate-Chromogen Solution for 10 min (brown color). The sections were then counterstained with hemalum, dehydrated, cleared in xylene, and mounted.
A cytoplasmic immunoexpression was evaluated for all three hKs. Absence of IE or weak focal staining of hK6 and hK10 were considered negative. Positive immunostaining was classified as moderate (focal or extensive) and strong (focal or extensive).
Statistics
Statistical analysis was carried out with the SPSS 10.0 software (SPSS, Inc.; Chicago, IL), using the x2 test.
Results
Hormonal Changes
After testosterone administration, serum testosterone levels of female-to-male transsexuals rise by approxi-mately 10-15-fold (Spinder et al. 1989). Serum 17b- estradiol luteinizing hormone and follicle-stimulating hormone levels fall only moderately (approximately 1.5 to 2-fold) (unpublished data).
Histological Study
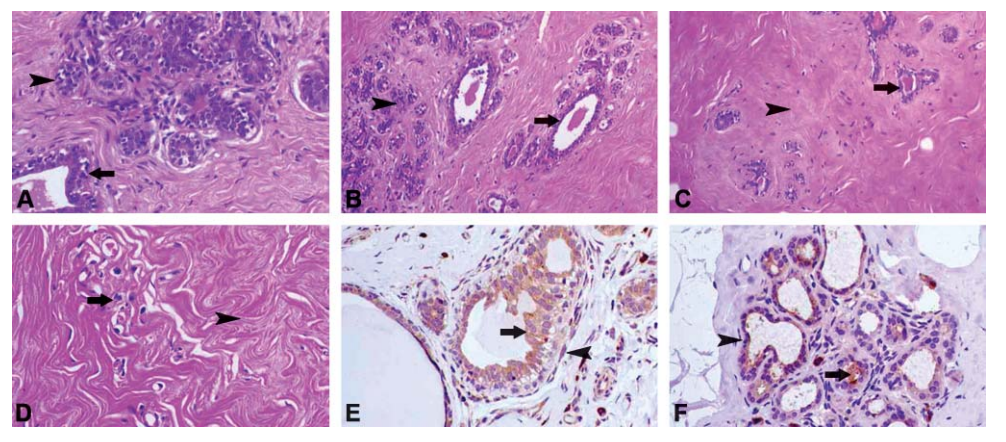
Female Breast Tissues of the Control Group. Ducts and lobuloalveolar structures embedded in a loose fibrous stroma with varying amount of fat were observed. The ductal and alveolar lining was composed of an inner layer of epithelial cells and an outer layer of myoepi-thelial cells, surrounded by a basement membrane. In the secretory phase, an increase in the size of the lobules and number of the terminal duct structures, as well as vacuolization and ballooning of the myoepithelial cells, were observed. In menopause, a regression of the paren-chymal lobuloalveolar structures and a replacement of the loose fibrous tissue by fat and dense fibrous tissue were observed. Foci of fibrocystic lesions consisting of cysts, apocrine metaplasia, adenosis, and ductal and lobular hyperplasia were observed in most cases (Figure 1A).

Figure 1. (A) Female breast histology: ducts (arrows), lobules (arrowheads) [hematoxylin-eosin (HE) X200], (B) Moderate lobuloalveolar involution in the breast of a female-to-male transsexual after testosterone administration: duct (arrow), lobule (arrowhead) (HE X100). (C) Severe lobuloalveolar involution in the breast of female-to-male transsexuals after testosterone administration: ducts with prominent myoepithelial cells (arrow), totally involuted lobules, and replacement by dense fibrous connective tissue (arrowhead) (HE X100). (D) Remaining myoepithelial cells (arrow) in involuted lobuloalveolar structures, replaced by fibrous tissue (arrowhead) in the breast of a female- to-male transsexual after testosterone administration (HE X200). (E) Moderate hK6 immunostaining in the epithelium of female breast (arrow), unstained myoepithelial cells (arrowhead) (X200). (F) Strong hK10 immunoexpression in the epithelium of female breast, unstained myoepithelial cells (arrowhead) (X200).
Breast Tissues of the Female-to-Male Transsexuals. Similar involutionary changes as in breasts of meno-pausal women were observed in all cases: marked reduction of glandular tissue (involution of the lobulo- alveolar structures) and increase in fat deposition and prominence of fibrous connective tissue. In most cases, the changes were similar with those observed at the end stage of menopausal mammary involution, with ducts and involuted lobuloalveolar structures embedded in dense, hyalinized fibrous tissue. The epithelial involution and the stromal fibrosis were stratified as mild, moderate, and strong. It is remarkable that only small amounts of fat tissue were observed in all cases, comparable with the fat tissue found in menopausal women (Figures 1B-1D, Table 1). More observations are summarized as follows: contraction of the acini as a result of the loss of lining epithelial cells; shrinkage of the remaining ducts and, often, presence of a prominent myoepithelial layer; total disappearance of the lobuloalveolar structures and replacement by fibrous tissue; microcystic appearance of involuting lobules and formation of small cysts; and thickness of the basement membranes and replacement of the loose intralobular connective tissue by dense fibrous tissue.
Table 1. 1 Immunohistochemical and histological findings of the 23 breast tissues of female-to-male transsexuals after testosterone administration.

It should be mentioned that fibrocystic lesions were not observed with the exception of focal ductal epithelial hyperplasia in two cases and focal apocrine metaplasia in three cases (very low percentage in comparison with the results of the control group and the general population). Additionally, an intraductal papilloma was observed in one case (Figures 1B-1D, Table 1).
Immunohistochemical Study (hK6, hK10, PSA)
Female Breast Tissues of the Control Group. A moderate to strong cytoplasmic (i.e., hK6 and hK10) was identified in the epithelial ductal and lobuloalveolar structures in the breasts of the women in the proliferative and the secretory phase of the menstrual cycle. Myoepithelial cells were negative. Luminal secretions were also positive. Foci of apocrine metaplasia, apocrine cysts, and epithelial ductal hyperplasia showed strong staining. In menopausal breasts, IE of both hKs was weaker and focal (Figures 1E and 1F). No case showed IE for PSA.
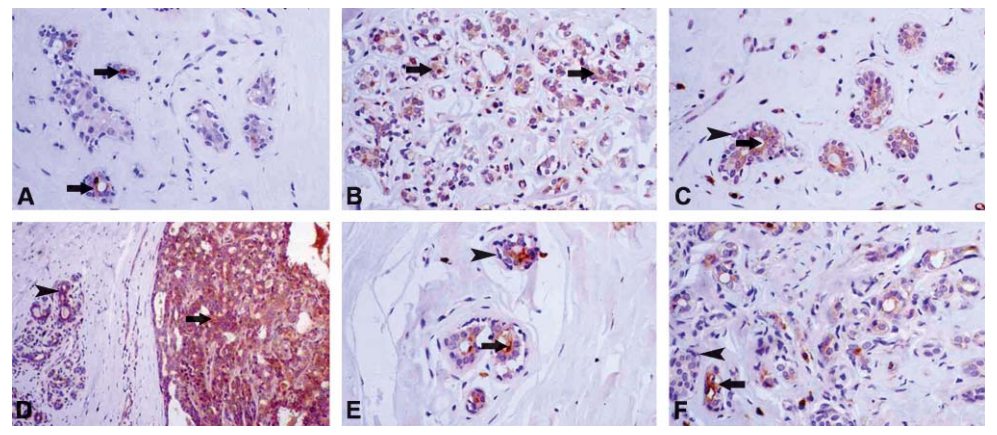
Breast Tissues of the Female-to-Male Transsexuals. A focal PSA cytoplasmic IE was observed in the epithelium of moderately involuted lobules of only one case (Figure 2A). A mild downregulation was observed in the IE of both hKs: 21/23 (91%) of the cases expressed hK6 and 18/23 (78%) hK10, respectively. The IE of hK6 was stronger than that of hK10 in most cases. The prominent myoepithelial cells were negative (Figures 2B-2F). A summary of the histological and immunohistochemical data of our study is shown in Table 1. No statistically significant difference was found between the hK6 and hK10 immunoexpression and the severity of the epithelial involution and the stromal fibrosis (Tables 2 and 3).

Figure 2. (A) Focal PSA immunoexpression in the epithelium of moderately involuted lobules (arrows) in the breast of a female-to-male transsexual after testosterone administration (X200). (B) Moderate hK6 immunoexpression by the epithelium of an involuted lobuloalveolar structure (arrows) in the breast of a female-to-male transsexual after testosterone administration (X200). (C) Strong hK6 immunoexpression by the epithelium of involuted lobuloalveolar structures (arrow) and absence of staining in prominent myoepithelial cells (arrowhead) in the breast of female-to-male transsexuals after testosterone administration (X200). (D) Moderate to strong hK6 immunohistochemical expression by an intraductal papilloma (arrow) and moderate hK6 immunoexpression by the epithelium of an involuted lobuloalveolar structure (arrowhead) in the breast of a female-to-male transsexual after testosterone administration (X200). (E,F) Strong hK10 immunoexpression by the epithelium of involuted lobuloalveolar structures (arrow) and absence of staining in prominent myoepithelial cells (arrowhead) in the breast of female-to-male transsexuals after testosterone administration (X200).
Table 2. Relation of hK6 immunohistochemical expression with the degree of epithelial and stromal changes in the 23 breast tissues of female-to-male transsexuals after testosterone administration.

Table 3. 3 Relation of hK10 immunohistochemical expression with the degree of epithelial and stromal changes in the 23 breast tissues of female-to-male transsexuals after testosterone administration.

Discussion
Three earlier studies have reported findings of androgen effects on the breasts (Futterweit and Schwartz 1988; Sapino et al. 1990; Burgess and Shousha 1993).
The first two studies addressed histological aspects. The effects varied strongly from one subject to the other: most subjects showed intralobular fibrous stroma and some extralobular fibrous stroma; approximately half showed lobular atrophy. The effects on breasts probably reflected the simultaneous action of androgens and estrogens generated by peripheral aromatization of the high levels of androgens in these subjects. The third study, which also used histochemical techniques, did not find major differences in comparison to the breast tissue of normal women except that there were more microcalcifications than normal.
The histological findings in the breasts of the an-drogen-treated females in our study were characterized by epithelial involution and stromal fibrosis (similar to findings in earlier studies) and showed a high degree of similarity with the histological picture of breasts of post-menopausal women. Similar involutionary changes as in breasts of menopausal women were observed in most cases: marked reduction of glandular tissue (involution of the lobuloalveolar structures) and prominence of dense, hyalinized, fibrous connective tissue. It is noteworthy that only small amounts of fat tissue were observed in all cases, comparable with the fat tissue found in menopausal women. From an endocrine viewpoint, this is a remarkable finding. 17b-estradiol (E2) levels in post-menopausal women are well below 50 pmol/L. In female- to-male transsexuals receiving androgen treatment, substantial amounts of circulating levels of E2 are generated from peripheral aromatization of testosterone. In our patients, we observed a positive correlation of plasma levels of E2 with plasma levels of testosterone. In a recent study of testosterone-treated female-to-male transsexuals, peak plasma E2 levels of more than 300 pmol/L were found, which never fell below 85 pmol/L and averaged 131 6 33 pmol/L (mean 6 SD) (Spinder et al. 1989). Another consideration concerning the impact of estrogens with this treatment regime is the decline of sex hormone-binding globulin levels after androgen administration, which leads to increases of free concentrations of both testosterone and estradiol. An explanation for the lack of biological effects of the high levels of circulating estradiol on mammary tissue might be found in the endocrine mechanism similar to that governing the male breast. Postpubertal men have significant levels of circulating E2, but their effects on mammary tissue are prevented by the simultaneous presence of high levels of testosterone (Rochefort and Garcia 1983). Testosterone is capable of inhibiting the E2-induced proliferation of mammary epithelial cells and abolishes E2-induced augmentation of ER-a expression (Zhou et al. 2000). Testosterone further promotes pro-apoptotic effects in breast cancer cells (Kandouz et al. 1999). Therefore, the simultaneous presence of high circulating testosterone and estrogens in these subjects might have prevented the biological action of E2, causing a histological picture of postmenopausal involution of the mammary tissue.
Another aspect of our study is the immunohisto-chemical expression of three tissue kallikreins. In men-struating women, immunohistochemical expression of hK10 was moderate and of hK6 was strong, whereas no immunohistochemical expression of hK3 (PSA) was detected. In the breast tissue of androgen-treated female-to-male transsexuals, focal production of hK3 (PSA) was found in one case but not in others. The im-munohistochemical expressions of hK6 and hK10 were slightly downregulated, more so of hK10 than of hK6. Recent studies indicate that testosterone treatment of female-to-male transsexuals increases serum and urine levels of hK3 (PSA) and of other kallikreins (Goh 1999; Obiezu et al. 2000; our unpublished data). It has been speculated that the breast was the source of PSA (hK3) (Goh 1999). Our inability to detect PSA by immuno- histochemistry in breast tissue of most transsexuals is likely to the result of the very low levels of PSA in this tissue in comparison to the prostate (Howarth et al. 1997; Black and Diamandis 2000).
Another aim of our study was to determine, as much as possible, whether exposure to high levels of androgens in these women promotes the initiation or progression of breast cancer. Epidemiological studies suggest that cir-culating testosterone is associated with the risk of devel-oping breast cancer in postmenopausal women (Key et al. 2002; Missmer et al. 2004). We found no evidence of in situ breast carcinomas in our subjects in this short-term study. Almost all long-term follow-up studies of women with hyperandrogenism from polycystic ovarian disease (which is endocrinologically characterized by the simul-taneous presence of high circulating androgen and estra-diol levels) do not provide evidence of higher breast cancer risk in these women. However, the incidence of endometrial cancer and probably, ovarian cancer, is higher in these women (Solomon 1999; Wild et al. 2000; Balen 2001; Somboonporn and Davis 2004a). Further, two recent reviews with regard of the risk that androgens pose for the development of breast cancer in women are reassuring (Somboonporn and Davis 2004a,b). Ani-mal studies in primates receiving exogenous testosterone also indicate that androgens may limit the mitogenic and cancer promoting effects of estrogens on mammary epithelium (Somboonporn and Davis 2004a). Epidemi-ological studies in women regarding the significance of endogenous testosterone are inconclusive, but are in any case not strongly suggestive for cancer promoting effects on breast tissue (Somboonporn and Davis 2004a,b).
In conclusion, we report here that long-term admin-istration of androgens in young females causes marked reduction of glandular tissue and promotion of fibrous connective tissue, changes similar to those seen in women in menopause.
References
Anderson KE, Sellers TA, Chen PL, Rich SS, Hong CP, Folsom AR (1997) Association of Stein-Leventhal syndrome with the incidence of postmenopausal breast carcinoma in a large prospective study of women in Iowa. Cancer 79:494-499
Bachmann G, Bancroft J, Braunstein G, Burger H, Davis S, Dennerstein L, Goldstein I, et al. (2002) Female androgen insufficiency: the Princeton consensus statement on definition, classification, and assessment. Fertil Steril 77:660-665
Balen A (2001) Polycystic ovary syndrome and cancer. Hum Reprod Update 7:522-525
Black MH, Diamandis EP (2000) The diagnostic and prognostic utility of prostate-specific antigen for diseases of the breast. Breast Cancer Res Treat 59:1-14
Borgono CA, Diamandis EP (2004) The emerging roles of human tissue kallikreins in cancer. Nat Rev Cancer 4:876-890
Borgono CA, Michael IP, Diamandis EP (2004) Human tissue kallikreins: physiologic roles and applications in cancer. Mol Cancer Res 2:257-280
Burgess HE, Shousha S (1993) An immunohistochemical study of the long-term effects of androgen administration on female-to-male transsexual breast: a comparison with normal female breast and male breast showing gynaecomastia. J Pathol 170:37-43
Clements JA, Willemsen NM, Myers SA, Dong Y (2004) The tissue kallikrein family of serine proteases: functional roles in human disease and potential as clinical biomarkers. Crit Rev Clin Lab Sci 41:265-312
Davison SL, Davis SR (2003) Androgens in women. J Steroid Biochem Mol Biol 85:363-366
Dhar S, Bhargava R, Yunes M, Li B, Goyal J, Naber SP, Wazer DE, et al. (2001) Analysis of normal epithelial cell specific-1 (NES1)/ kallikrein 10 mRNA expression by in situ hybridization, a novel marker for breast cancer. Clin Cancer Res 7:3393-3398
Diamandis EP, Yousef GM, Luo LY, Magklara A, Obiezu CV (2000) The new human kallikrein gene family: implications in carcinogenesis. Trends Endocrinol Metab 11:54-60
Futterweit W, Schwartz IS (1988) Histopathology of the breasts of 12 women receiving long-term exogenous androgen therapy. Mt Sinai J Med 55:309-312
Goh VH (1999) Breast tissues in transsexual women-a nonprostatic source of androgen up-regulated production of prostate-specific antigen. J Clin Endocrinol Metab 84:3313-3315
Goyal J, Smith KM, Cowan JM, Wazer DE, Lee SW, Band V (1998) The role for NES1 serine protease as a novel tumor suppressor. Cancer Res 58:4782-4786
Howarth DJ, Aronson IB, Diamandis EP (1997) Immunohistochemical localization of prostate-specific antigen in benign and malignant breast tissues. Br J Cancer 75:1646-1651
Kandouz M, Lombet A, Perrot JY, Jacob D, Carvajal S, Kazem A, Rostene W, et al. (1999) Proapoptotic effects of antiestrogens, progestins and androgen in breast cancer cells. J Steroid Biochem Mol Biol 69:463-471
Key T, Appleby P, Barnes I, Reeves G (2002) Endogenous sex hormones and breast cancer in postmenopausal women: reanalysis of nine prospective studies. J Natl Cancer Inst 94:606-616
Labrie F, Luu-The V, Labrie C, Belanger A, Simard J, Lin SX, Pelletier G (2003) Endocrine and intracrine sources of androgens in women: inhibition of breast cancer and other roles of androgens and their precursor dehydroepiandrosterone. Endocr Rev 24:152-182
Missmer SA, Eliassen AH, Barbieri RL, Hankinson SE (2004) Endogenous estrogen, androgen, and progesterone concentrations and breast cancer risk among postmenopausal women. J Natl Cancer Inst 96:1856-1865
Obiezu CV, Giltay EJ, Magklara A, Scorilas A, Gooren LJ, Yu H, Howarth DJ, et al. (2000) Serum and urinary prostate-specific antigen and urinary human glandular kallikrein concentrations are significantly increased after testosterone administration in female- to-male transsexuals. Clin Chem 46:859-862
Petraki CD, Karavana VN, Diamandis EP (2003) Human kallikrein 13 expression in normal tissues: an immunohistochemical study. J Histochem Cytochem 51:493-501
Petraki CD, Karavana VN, Luo LY, Diamandis EP (2002) Human kallikrein 10 expression in normal tissues by immunohistochem- istry. J Histochem Cytochem 50:1247-1261
Petraki CD, Karavana VN, Skoufogiannis PT, Little SP, Howarth DJ, Yousef GM, Diamandis EP (2001) The spectrum of human kallikrein 6 (zyme/protease M/neurosin) expression in human tissues as assessed by immunohistochemistry. J Histochem Cytochem 49:1431-1441
Rivera-Woll LM, Papalia M, Davis SR, Burger HG (2004) Androgen insufficiency in women: diagnostic and therapeutic implications. Hum Reprod Update 10:421-32
Rochefort H, Garcia M (1983) The estrogenic and antiestrogenic activities ofandrogens in female target tissues. Pharmacol Ther 23:193-216
Sapino A, Pietribiasi F, Godano A, Bussolati G (1990) Effect of longterm administration of androgens on breast tissues of female-to- male transsexuals. Ann N Y Acad Sci 586:143-145
Solomon CG (1999) The epidemiology ofpolycystic ovary syndrome: prevalence and associated disease risks. Endocrinol Metab Clin North Am 28:247-263
Somboonporn W, Davis SR (2004a) Testosterone effects on the breast: implications for testosterone therapy for women. Endocr Rev 25:374-388
Somboonporn W, Davis SR (2004b) Postmenopausal testosterone therapy and breast cancer risk. Maturitas 49:267-275
Spinder T, Spijkstra JJ, van den Tweel JG, Burger CW, van Kessel H, Hompes PG, Gooren LJ (1989) The effects of long term testosterone administration on pulsatile luteinizing hormone secretion and on ovarian histology in eugonadal female to male transsexual subjects. J Clin Endocrinol Metab 69:151-157
Wild S, Pierpoint T, Jacobs H, McKeigue P (2000) Long-term consequences of polycystic ovary syndrome: results ofa31 year followup study. Hum Fertil 3:101-105
Yousef GM, Chang A, Diamandis EP (2000) Identification and characterization of KLK-L4, a new kallikrein-like gene that appears to be down-regulated in breast cancer tissues. J Biol Chem 275: 11891-11898
Yousef GM, Diamandis EP (2001) The new human tissue kallikrein gene family: structure, function, and association to disease. Endocr Rev 22:184-204
Yousef GM, Scorilas A, Kyriakopoulou LG, Rendl L, Diamandis M, Ponzone R, Biglia N, et al. (2002) Human kallikrein gene 5 (KLK5) expression by quantitative PCR: an independent indicator of poor prognosis in breast cancer. Clin Chem 48:1241-1250
Zhou J, Ng S, Sanya-Famuiya O, Anderson K, Bondy CA (2000) Testosterone inhibits estrogen-induced mammary epithelial proliferation and suppresses estrogen receptor expression. FASEB J 14:1725-1730.