Constantine Dimitrakakis, MD, PhD,1 Jian Zhou, MD, PhD,1 Jie Wang, MD,1 Alain Belanger, PhD2, Fernand LaBrie, MD,2 Clara Cheng, PhD,1 Douglas Powell, PhD,3 and Carolyn Bondy, MD1
From the 1Developmental Endocrinology Branch, National Institute of Child Health and Human Development, National Institutes of Health, Bethesda, Maryland; the 2Centre de Researche, Centre Hospitalier, Universitaire de Quebec, Quebec, Canada; and the Veterinary Research Branch, Office of Research Services, National Institutes of Health, Bethesda, Maryland.
Address reprint requests to Carolyn Bondy, MD, Bldg. 10/10N262,10 Center Drive, Bethesda, MD 20892; E-mail: bondyc@exchange.nih.gov.
Abstract
Objective; The normal ovary produces abundant testosterone in addition to estradiol (E2) and progesterone, but usually only the latter two hormones are “replaced” in the treatment of ovarian failure and menopause. Some clinical and genetic evidence suggests, however, that endogenous androgens normally inhibit estrogen-induced mammary epithelial proliferation (МЕР) and thereby may protect against breast cancer.
Design: to investigate the role of endogenous androgen in regulating mammary epithelial pro-liferation, normal-cycling rhesus monkeys were treated with flutamide, an androgen receptor an-tagonist. To evaluate the effect of physiological testosterone (T) supplementation of estrogen re-placement therapy, ovariectomized monkeys were treated with E2, E2 plus progesterone, E2 plus T, or vehicle.
Results: We show that androgen receptor blockade in normal female monkeys results in a more than twofold increase in МЕР, indicating that endogenous androgens normally inhibit МЕР. Moreover, we show that addition of a small, physiological dose of T to standard estrogen therapy almost completely attenuates estrogen-induced increases in МЕР in the ovariectomized monkey, suggesting that the increased breast cancer risk associated with estrogen treatment could be reduced by T supplementation. Testosterone reduces mammary epithelial estrogen receptor (ER) α and increases ERβ expression, resulting in a marked reversal of the ERα/β ratio found in the estrogen-treated monkey. Moreover, T treatment is associated with a significant reduction in mammary epithelial MYC expression, suggesting that T’s antiestrogenic effects at the mammary gland involve alterations in ER signaling to MYC.
Conclusions: These findings suggest that treatment with a balanced formulation including all ovarian hormones may prevent or reduce estrogenic cancer risk in the treatment of girls and women with ovarian failure.
Key words: Breast cancer - Estrogen - Androgen - Proliferation - Estrogen receptor.
The normal ovary produces estrogen, androgen, and progesterone (P4), with androgen production exceeding that of estrogen by severalfold.1 “Replacing” estradiol (E2) alone in women with ovarian failure causes uterine hyperplasia and cancer, an effect that is prevented by the coadmin-istration of P4, which opposes estrogen’s effect upon uterine cells. Unfortunately, P4 does not oppose estrogen’s stimulatory effect on mammary epithelium, and pharmacologic estrogen therapy with or without P4 is associated with an increased risk of breast cancer.2,3 A variety of observations suggest, however, that androgens may suppress the growth of mammary epithelium and potentially inhibit estrogen’s cancer-promoting activity in this target tissue. For example, female athletes and transsexuals taking androgens experience atrophy of breast glandular tissue,4,5 and androgens have been used with success comparable to that of other hormonal therapies in treating breast cancer (reviewed in Labrie et al°). Androgen receptor (AR) deletion or blockade is associated with the growth ofbreasts in men,7,8 and AR mutations are found in men with breast cancer.9,10 Moreover, recent evidence points to a genetic linkage between increased cancer risk in women carrying both extended AR-CAG repeats (encoding hypoactive ARs) and BRCA1 mutations or positive family history of breast cancer.11,12 Moreover, there seems to be a protective effect associated with short AR-CAG alleles en-coding higher activity AR,13 although not all studies find this association.14
Girls and women with complete loss of ovarian function due, for example, to gonadal dysgenesis, chemotherapy, or ovariectomy, have a significant reduction in endogenous androgens because the ovary normally produces about 50% of androgens present in the circulation. Despite this deficiency, they are rarely given androgen replacement. Women taking estrogen in the form of oral contraceptives or menopausal hormone replacement therapy (HRT) have not completely lost ovarian function but often experience reduced endogenous androgen activity. This is because estrogen suppresses gonadotropins, leading to reduced ovarian an- drogenesis, and increases sex hormone-binding globulin levels, resulting in reduced androgen bioavailability, although the extent to which the postmenopausal ovary produces significant amounts of androgen is unclear.1 Thus, conventional estrogen therapy may promote breast hyperplasia not only through direct estrogen exposure but also through reduction of endogenous androgen effect. The aim of the present study was to evaluate the role of endogenous androgens on mammary epithelial proliferation by blocking the AR in normal cycling monkeys and to determine whether supplementation of conventional estrogen replacement therapy with low-dose, physiological T replacement could inhibit estrogenic stimulation of the breast.
Methods
Effects of AR inhibition with flutamide
Female rhesus monkeys (Macaca mulatto) 6 to 13 years of age from the National Institutes of Health Poolesville colony were used in accordance with a protocol approved by the NICHD Animal Care and Use Committee. These monkeys were randomly assigned to two groups (n = 6 or 7 per group) receiving vehicle or flutamide (400 mg/kg for 3-month, sustained release; Innovative Research, Sarasota, FL) pellets inserted subcutaneously between their shoulder blades under ketamine anesthesia. The weights of these monkeys ranged from 5.2 to 6.9 kg (mean of 6.6 kg). All monkeys had at least three regular menstrual cycles before participation in the study and continued to cycle regularly throughout treatment. Three months later, mammary gland biopsies were obtained under ketamine anesthesia and flash frozen. Sections of 10 μm thickness were cut at -15°C and thaw-mounted onto poly-L- lysine coated slides for histochemical analysis. Plasma obtained from these animals was extracted and analyzed using an HPLC system and Seiex API 3000 triple quadrupole mass spectrometer, equipped with Turbo- lonSpray to measure flutamide. The flutamide level in the group of active treated animals was 8.21 ± 0.58 ng/mL (mean ± SEM).
Effects of physiological hormone replacement
For the hormone replacement experiments, ovariec- tomized animals were randomly assigned to four groups (n = 4 or 5 each) receiving vehicle or 3-day, sustained release hormone-containing pellets inserted subcutaneously between their shoulder blades under ketamine anesthesia. The E2 group received 17β- estradiol pellets (2.5 mg); the E2/P4 group received both 17β-estradiol (2.5 mg) and P4 (10 mg) pellets. The E2/T group received 17β-estradiol (2.5 mg) and T (35 μg/kg) pellets. After 3 days, the animals were sedated with ketamine and then euthanized with pentobarbital (65 mg/kg).
Evaluation of mammary epithelial proliferation
Mammary tissue was removed and processed for im-munohistochemical detection of the proliferation- specific Ki-67 antigen, as described elsewhere.15 To determine the mammary epithelial proliferation index, a blinded observer scored 200 to 300 nuclei per section microscopically. Two to three sections were scored to obtain mean values for each animal.
ERa, MYC (Novocastra from Vector, Burlingame, CA; dilutions 1/40 and 1/200, respectively) and ERβ (GeneTex, San Antonio, TX; concentration 5 μg/mL) monoclonal antibodies were used for the immunohistochemical detection of the cognate antigens in frozen mammary tissue sections from the present study and from similar experimental groups from a previous study,16 following the same protocol used for Ki67. ER expression was quantified as percentage of positive nuclei after evaluating approximately 1,000 cells per animal, as described for Ki67. MYC immunostaining was predominantly cytoplasmic and rather widespread in mammary epithelial cells, so the relative intensity of the cytoplasmic staining was graded, using a scale of 1 to 4. Raw data on ER and MYC expression from each animal were normalized to the contemporaneous, ve-hicle-treated control group means, and normalized data for each treatment group from the two studies were pooled for analysis. A MYC cRNA probe was synthesized from a 250-bp cDNA fragment encoding human MYC obtained from Ambion, Inc. (Austin,TX). Probe synthesis and in situ hybridization protocols have been described in detail previously.15 The specificity of the in situ hybridization results was confirmed by the hybridization of parallel sections to a sense probe. The hybridization signal overlying mammary epithelium was captured at x400 using a monochrome video camera and the results analyzed with NIH image v 1.5 7 software as previously described.15 A blinded observer obtained four to six measurements from two to three mammary tissue sections for each animal.
Statistical analyses
Data are expressed as group means with standard error. Group means were compared using analysis of variance, and differences were assessed by Fisher’s least significant difference test.
Results
Effects of AR antagonism
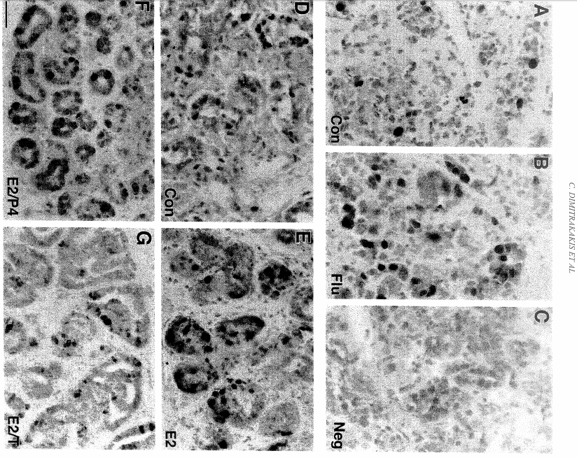
To investigate the role of endogenous androgens in regulating mammary epithelial proliferation, monkeys were treated with flutamide, an AR antagonist.17 These animals demonstrated regular menstrual cycles before flutamide treatment, and both groups (vehicle, n = 6; flutamide, n = l) continued regular cycles throughout the 3-month treatment period. The mammary epithelium was biopsied at the end of the third cycle, denoted by appearance of menses. The tissue seemed histologically normal in flutamide-treated animals, but proliferation determined by expression of the Ki67 antigen (Fig. 1A-C) was increased by twofold (5.1 ± 1.0% in control v 10.56 ± 1.8% in flutamide groups; P = 0.02).

Figure 1. Mammary epithelial proliferation shown by Ki67 immunoreactivity. A-C: In intact.monkeys treated with vehicle (A) or flutamide (B); a negative control section (C). D-G: in ovariectomized monkeys treated with vehicle (D), estradiol (E), estradiol plus progesterone (F), and estradiol plus testosterone (G). Scale bar, 40 μm.
Effects of physiological hormone replacement
To evaluate the effect of physiological T supplemen-tation of estrogen replacement therapy, ovariectomized monkeys were treated with E2, E2 plus P4 (E2/P4), E2 plus T (E2/T), or vehicle. E2 levels were similar in all Entreated groups (Table 1) in a physiological range of the normal menstrual cycle and were similar to levels in oral contraceptive and HRT regimens. T levels were at the limit of detection in all ovariectomized monkeys save for the E2/T group, in which they were in the normal physiologic range for female monkeys and humans (~40 ng/dL). The mammary epithelial proliferation index was increased by approximately 3.5-fold in the E2- and E2/P4-treated groups but was not significantly increased above control in the E2/T group (Fig. 1,D-G and Table 1).
Table 1. Sex steroid levels and mammary ep ithelial proliferation.

In a previous study we found that ERα mRNA was significantly reduced in the mammary epithelium of E2/T compared with E2-treated animals.16 In the present work we evaluated ERα and ERβ itnmunoreactiv- ities and found a significant reduction in mammary epithelial ERα and increase in ERβ expression in E2/T groups compared with E2 alone (Fig. 2A-D and Table 2). This effect by T results in a dramatic reversal of the ERα/ERβ ratio, which is approximately 2.5 in the E2- treated group and approximately 0.7 in the E2/T group. Because MYC is implicated as a mediator of estrogenic tumorigenesis,18,19 we analyzed its expression in the different treatment groups, finding that MYC immuno- staining was significantly reduced in E2/T-treated animals (Fig. 2,E-H and Table 2). Furthermore, MYC expression was positively correlated with ERα expression (P = 0.008 by simple regression analysis). MYC mRNA expression evaluated using in situ hybridization (data not shown) supports the immunohistochemical results, with significant increases in E2- and E2/P4- treated animals (~60%-70% increase compared with control, P < 0.001) and an approximately 50% reduction in E2/T-treated animals (P = 0.05) compared with the E2- and E2/P4-treated groups.

Figure 2. Effect of E2 and E2/T on mammary epithelial expression of ERα and ERβ (A-B) and MYC (E-H). Scale bar, 20 μm.
Table 2. Estrogen receptors and MYC expression.

Discussion
Estrogen-induced proliferation of mammary epithelium is thought to underlie the association between estrogen exposure and breast cancer, with total lifetime estrogen exposure constituting the major component of an individual’s risk for developing mammary neoplasia.20 The present study provides multiple lines of evidence suggesting that this estrogen exposure risk for breast cancer may be attenuated by androgens. The normal ovary produces abundant androgen for release into the circulation, and androgen levels are substantially higher than estrogens throughout the normal female lifespan. The importance of androgens in female physiology has been largely overlooked, however, despite recent evidence that these “male” hormones are important for maintaining lean body mass (bone and muscle) and libido in women as well as men.21,22 Even with these considerations on the role of androgens in women, hormone therapy for girls and women generally includes only estrogen and progestin, a treatment with the unintended effect of reducing net androgen activity, which may augment the risk of estrogen exposure. The demonstration in the present study that administration of an AR antagonist enhances mammary epithelial proliferation in normal female monkeys confirms that endogenous androgens normally inhibit this proliferation. This study has also shown that restoration of normal circulating T levels in E2-treated ovariecto- mized animals largely prevents the estrogen-induced increase in mammary epithelial proliferation, suggesting that androgen supplementation of HRT regimens may have similar protective effects in humans. Supporting this view, a recent study found that a low-dose oral contraceptive induced robust mammary epithelial proliferation in rats, but that addition of methyl- testosterone to the therapy significantly suppressed the proliferation.23 It is important to keep in mind, however, that species-specific differences in steroid production and metabolism may influence net steroid effect upon mammary and other tissues.
It is noteworthy that this study also reveals clues about the mechanisms whereby androgen limits E2 effects at the breast. Androgens such as T and DHT function by binding to the intracellular AR, a member of the nuclear hormone receptor super family comprising classic DNA-binding, hormone-binding and activation domains. AR expression is present in normal mammary epithelium and in some breast cancer specimens and cell lines.16,24-26 A major androgenic effect demonstrated in this in vivo study is the down-regulation of ERα and up-regulation of ERβ expression, resulting in reversal of the ERα-dominant receptor ratio found in E2-treated mammary epithelium. Although both ERs bind E2, their signaling pathways and biological outcomes seem different.27 For example, ERα augments MYC expression and proliferation, whereas ERβ does not stimulate MYC and may inhibit proliferation.28 Interestingly, a reciprocal or inverse relationship between expression of these two ERs is also reported in breast cancer tissues, where ERβ expression is also inversely correlated with proliferation,29,30 although one study reports a positive correlation in certain types of tumors.31 ERβ expression may be viewed as a good prognostic factor in breast cancer and is speculated to be protective against estrogenic carcinogenesis.32-34 Hence, a key aspect of androgenic protection of the mammary gland may be alteration of the ERαβ ratio in favor of ERβ, as shown in the present study.
An important consequence of alteration in the ER ratio is down-regulation of E2-induced MYC expression. The MYC proto-oncogene induces mammary tu- morigenesis,35 and its amplification is linked with a poor prognosis in breast cancer.36 The reduction in mammary epithelial MYC expression could be secondary to reduced ERα, supported by our finding of a significant correlation between MYC and ERα expression. Alternatively, it could be a more direct effect of androgen, because an inverse correlation between AR and MYC expression is found in breast cancer tissues.37 There are likely other mechanisms whereby AR activation inhibits mammary tumorigenesis. As noted above, breast cancer risk in BRCA1-mutation carriers is increased in women with an amplified AR-CAG allele encoding a relatively inactive receptor,11 raising the intriguing possibility that androgen signaling and BRCA1 pathways may intersect. Supporting this possibility, there are reported interactions between the BRCA1 gene product and AR that augment AR signaling, suggesting that the BRCA1 protein may be an AR coactivator.38,39
CONCLUSIONS
In summary, the present data show that androgens reduce mammary epithelial proliferation and regulate mammary epithelial ERα and ERβ and MYC expression, suggesting that androgens may protect against breast cancer, by analogy with P4,s protective effects upon the uterus. These considerations suggest that physiological estrogen/androgen “replacement” therapy may be beneficial to girls and women with ovarian failure.
References
Lobo RA. Androgens in postmenopausal women: production, pos-sible role, and replacement options. Obstet Gynecol Surv 2001;56(6):361-376.
Schairer C, Lubin J, Troisi R, Sturgeon S, Brinton L, Hoover R. Menopausal estrogen and estrogen-progestin replacement therapy and breast cancer risk. JAMA 2000;283(4):485-491.
Ross RK, Paganini-Hill A, Wan PC, Pike MC. Effect of hormone replacement therapy on breast cancer risk: estrogen versus estrogen plus progestin. J Natl Cancer Inst 2000;92(4):328-332.
Korkia P, Stimson GV. Indications of prevalence, practice and effects of anabolic steroid use in Great Britain. Ini J Sports Med 1997; 18(7):557-562.
Burgess HE, Shousha S. An immunohistochemical study of the long-term effects of androgen administration on female-to-male transsexual breast: a comparison with normal female breast and male breast showing gynaecomastia. J Pathol 1993; 170( 1 );37-43.
Labrie F, Simard J, de Launoit Y, et al. Androgens and breast cancer. Cancer Detect Prev 1992; 16( 1 ):31-38.
Grino PB, Griffin JE, Cushard WG Jr, Wilson JD. A mutation of the androgen receptor associated with partial androgen resistance, fa-milial gynecomastia, and fertility. J Clin Endocrinol Metab 1988; 66(4):754-761.
Staiman VR, Lowe EC. Tamoxifen for flutamide/finasteride- induced gynecomastia. Urology.7 1997;50(6):929-933.
Wooster R, Mangion J, Eeles R, et al. A germline mutation in the androgen receptor gene in two brothers with breast cancer and Rei- fenstein syndrome. Nat Genet 1992;2(2): 132-134.
Lobaccaro JM, Lumbroso S, Belon C, et al. Male breast cancer and the androgen receptor gene. Nat Genet 1993;5(2): 109-110.
Rebbeck TR, Kantoff PW, Krithivas K, et al. Modification of BRCA1 -associated breast cancer risk by the polymorphic androgen-receptor CAG repeat. Am JHum Genet 1999;64(5): 1371-1377.
Haiman CA, Brown M, Hankinson SE, et al. The androgen receptor CAG repeat polymorphism and risk of breast cancer in the Nurses’ Health Study. Cancer Res 2002;62(4): 1045-1049.
Giguere Y, Dewailly E, Brisson J, et al. Short polyglutamine tracts in the androgen receptor are protective against breast cancer in the general population. Cancer Res 2001 ;61 (15):5869-5874.
Menin C, Banna GL, De Salvo G, et al. Lack of association between androgen receptor CAG polymorphism and familial breast/ovarian cancer. Cancer Lett 2001 ; 168( 1 ):31 -36.
Zhou J, Anderson K, Bievre M, Ng S, Bondy CA. Primate mammary gland insulin-like growth factor system: cellular localization and regulation by sex steroids. JInvestig Med 2001;49(l):47-55.
Zhou J, Ng S, Adesanya-Famuiya O, Anderson K, Bondy CA. Testosterone inhibits estrogen-induced mammary epithelial proliferation and suppresses estrogen receptor expression. FA SEE J 2000; 14(12): 1725-1730.
Singh SM, Gauthier S, Labrie F. Androgen receptor antagonists (an- tiandrogens)r structure-activity relationships. Curr Med Chem 2000;7(2):211-247.
Miller TL, Huzel N J, Davie JR, Murphy LC. C-myc gene chromatin of estrogen receptor positive and negative breast cancer cells. Mol Cell Endocrinol 1993;91:83-89.
Prall OW, Rogan EM, Musgrove EA, Watts CK, Sutherland RL. c-Myc or cyclin D1 mimics estrogen effects on cyclin E-Cdk2 activation and cell cycle reentry. Mol Cell Biol 1998;18(8):4499- 4508.
Henderson BE, Feigelson HS. Hormonal carcinogenesis. Carcinogenesis 2000;21(3):427-433.
Davis S. Androgen replacement in women: a commentary. J Clin Endocrinol Metab 1999;84(6): 1886-1891.
Shifren JL, Braunstein GD, Simon JA, et al. Transdermal testosterone treatment in women with impaired sexual function after oopho-rectomy. N Engl J Med 2000;343(!0):682-688,
Jayo MJ, Register TC, Hughes CL, et al. Effects of an oral contra-ceptive combination with or without androgen on mammary tissues: a study in rats. JSoc Gynecol Investig 2000;7(4):257-265.
Hall RE, Aspinall JO, Horsfall DJ, et al. Expression of the androgen receptor and an androgen-responsive protein, apolipoprotein D, in human breast cancer. Br J Cancer 1996;74(8):1175-1180.
Isola JJ. Immunohistochemical demonstration of androgen receptor in breast cancer and its relationship to other prognostic factors. J Pathol 1993; 170(1 ):31-35.
Birrell SN, B ente I JM, Hickey TE, et al. Androgens induce divergent proliferative responses in human breast cancer cell lines. J Steroid Biochem Mol Biol 1995;52(5):459-467.
Pettersson K, Gustafsson JA. Role of estrogen receptor (3 in estrogen action. Annu Rev Physiol 2001;63:165-192.
Lazennec G, Bresson D, Lucas A, Chauveau C, Vignon F. ER (3 inhibits proliferation and invasion of breast cancer cells. Endocri-nology 2001 ; 142(9):4120-4130.
Bieche I, Parfait B, Laurendeau I, Girault I, Vidaud M, Lidereau R. Quantification of estrogen receptor alpha and (3 expression in spo-radic breast cancer. Oncogene 2001 ;20(56):8109-8115.
Roger P, Sahla ME, Makela S, Gustafsson JA, Baldet P, Rochefort H. Decreased expression of estrogen receptor (3 protein in proliferative preinvasive mammary tumors. Cancer Res 2001;61(6):2537- 2541.
Jensen EV, Cheng G, Palmieri C, et al. Estrogen receptors and pro-liferation markers in primary and recurrent breast cancer. Proc Natl AcadSci USA 2001 ;98(26): 15197-15202.
Jarvinen TA, Pelto-Huikko M, Holli K, Isola J. Estrogen receptor beta is coexpressed with ERαlpha and PR and associated with nodal status, grade, and proliferation rate in breast cancer. Am J Pathol 2000;156(l):29-35.
Omoto Y, Inoue S, Ogawa S, et al. Clinical value of the wild-type estrogen receptor (3 expression in breast cancer. Cancer Lett 2001 ; 163(2):207-212.
Gustafsson JA, Warner M. Estrogen receptor (3 in the breast: role in estrogen responsiveness and development of breast cancer. J Steroid Biochem Mol Biol 2000;74(5):245-248.
D’Cruz CM, Gunther EJ, Boxer RB, et al. c-MYC induces mammary tumorigenesis by means of a preferred pathway involving spontaneous Kras2 mutations. Nat Med 2001 ;7(2):235-239.
Deming SL, Nass SJ, Dickson RB, Trock BJ. C-myc amplification in breast cancer: a meta-analysis of its occurrence and prognostic relevance. BrJ Cancer 2000;83(12): 1688-1695.
Bieche I, Parfait B, Tozlu S, Lidereau R, Vidaud M. Quantitation of androgen receptor gene expression in sporadic breast tumors by real-time RT-PCR: evidence that MYC is an AR-regulated gene. Carcinogenesis 2001 ;22(9): 1521-1526.
Park JJ, Irvine RA, Buchanan G, et al. Breast cancer susceptibility gene 1 (BRCAI) is a coactivator of the androgen receptor. Cancer Res 2000;60(21):5946-5949.
Yeh S, Hu YC, Rahman M, et al. Increase of androgen-induced cell death and androgen receptor transactivation by BRCA 1 in prostate cancer cells. Proc Natl Acad Sci USA 2000;97(21): 11256-11261.