Povl E. Budtz and Ingrid Spies
Zoophysiological Laboratory A, University of Copenhagen, Copenhagen, Denmark
✸Supported in part by the Danish National Science Research Council (grant no. 11-6498) (PB) ✸✸Part of this work was presented at the XVth Meeting of the European Study Group for Cell Proliferation, Sundvollen, Norway, 16-20 September 1987
Summary
In normal, non-expanding toad epidermis more cells are produced than needed to replace cells lost by moulting. By implication, cell deletion additional to moulting must take place. This paper deals with the mechanisms by which the “surplus” of cells is deleted, taking advantage of the fact that the ratio between cell birth rate (Kb) and the rate of desquamation (Kd), which in normal toads is 2 to 3, can be manipulated. In toads deprived of the pars distalis of the pituitary gland it is decreased to 0.2 to 0.3, and in toads with hydrocortisone pellets implanted into the subcutaneous lymph space it is increased to 7 to 10. Thus, structures candidates for the morphological manifestation of the deletion process should occur rarely in toads in which the pars distalis has been removed and frequently in toads with hydrocortisone pellets implanted. Categorization and enumeration of such structures by light microscopy in the epidermis from operated, normal, and hormone-treated toads were performed. The incidence of structures referred to as “dark cells” and “omega-figures” were found to correlate relatively well with the Kb/Kd-ratio. A subsequent ultrastructural analysis - on a cell-by-cell basis - of “dark cells” showed these to reflect various stages of apoptosis. The duration of the apoptotic process was calculated to be approximately 7 h. Light- and electron microscopy of “omega-figures” combined with histochemical observations of PSA-lectin binding were interpreted as reflecting a release of cells from the basal epidermis and their final elimination within the dermis. It is concluded (i) that apoptosis is an important mechanism of controlled cell deletion, (ii) that emigration to, and elimination in, the dermis is a possible deletion mechanism, and (iii) that necrosis is unlikely to play a role in controlled cell deletion.
Key words: Epidermis - Cell deletion - Apoptosis - Kinetic homeostasis - Merkel cells - Bufo bufo (Anura)
Introduction
Under normal conditions, tissues maintain - over a period of time - a relative constant cell pool size. It is generally assumed that this kinetic homeostasis of epithelial tissue is accomplished by a thoroughly controlled balance between the rate of cell divisions, and the rate of cell loss by desqua-mation (Jorgensen and Levi 1975; Bergstresser and Taylor 1977; Hoffman 1978; Budtz 1979; Weinstein et al. 1984; Hume 1985; Read and Watt 1988; Ridge et al. 1988). In toad epidermis, however, more cells are produced than needed to replace cells lost by desquamation (Levi and Niel-sen 1982; Budtz 1985 a). Assuming that the epidermis is non-expanding, a Kb/Kd-ratio > 1, where Kb is the cell birth rate and Kd the desquamation rate, implies that cell deletion additional to desquamation must take place. In normal toads this ratio is 2 to 3 (Budtz 1985a), and it is strongly indicated that the cell deletion additional to cell loss by moulting occurs in a controlled manner (Budtz 1985 b). In toads, the epidermal Kb/Kd-ratio can be experimentally manipulated. Thus, following ablation of the pars distalis of the pituitary gland, the Kb decreases and the Kd increases, leading to Kb/Kd-ratios of 0.2-0.5 (Budtz 1985b). On the other hand, continuous administration of hydrocortisone by means of implantation of hormone pellets, leads to increased ratios (7-10), an effect primarily due to an increased Kb and to a lesser extent to a decreased Kd (Budtz 1988). These manipulations, used as a tool, offer an excellent opportunity to analyse the crucial question: how is the “surplus” of cells deleted? Cell death is difficult to define, being a dynamic process, the end point or point of commitment of which may be both fleeting and controversial, and there is no single method satisfactory to evaluate cell deletion for all experiments (Bowen 1981). Since there are no or only minor changes in the size of the epidermal cell pool in the experimental situations mentioned above (Budtz 1979, 1985b, 1988), structures as candidates for the morphological manifestation of the deletion process should be rare or absent in toads lacking their pars distalis and frequent in hydrocortisone-treated toads. This is the rationale for the present investigation, in which the epidermal structure of toads with different Kb/Kd-ratios, obtained by experimental manipulation, is studied by light- and electron microscopy.
Materials and methods
The present structural analysis of the toad (Bufo bufo) epi-dermis is based upon the histological material from previous publications in which the results of cell and tissue kinetic studies have been reported. The experimental groups studied and the origin of the material are summarized in Table 1. In addition, a fluorescence-microscopical examina-tion of Pisum sativum (PSA)-lectin binding in normal toad epidermis is included. Below the experimental and histologi-cal methods used are briefly outlined; for further details on methodology, see Budtz (1982, 1986a, 1988).
Table 1. Experimental groups (all male toads).

Experimental procedures
The pars distalis of the pituitary gland was removed under MS-222 (Sandoz) anaesthesia as described by van Dongen et al. (1966) (groups IV, V, VI and VII, see Table 1).
Hydrocortisone (Sigma) in lots of about 25 mg was put into discoid pellets with a diameter of about 5 mm, formed under hydraulic pressure. The pellets were implanted into the subcutaneous lymph space through a small dorso-cau- dal incision. A release rate of hydrocortisone of about 8 pg per g body weight per day was calculated from pellet weight loss during the experimental period (groups II, III, VI and VII, Table 1). In groups VI and VII, pellets were implanted immediately after the operation.
Light- and electron microscopy
After decapitation, small pieces of ventral skin were fixed in 4% paraformaldehyde plus 1.5% glutaraldehyde, in am-phibian phosphate-buffered saline, postfixed in Palade’s OsO4 and embedded in Epon (groups I, II, III, VI and VII) or fixed directly in Palade’s OsO4 (groups IV and V). One-μm thick sections were stained with 1 % toluidine blue in 2% borax, on a hot plate (approximately 80° C). After inspection of the semithin sections, areas of particular interest were selected for ultrastructural analysis. The Epon blocks were trimmed accordingly, and ultrathin sections were cut on a Reichert OMU2 ultramicrotome equipped with a diamond knife. Sections were contrasted with 2% aquous uranyl acetate at 60° C for 1 h or at room temperature for 4 h, and viewed with a Zeiss EM9 electron microscope.
Assessment of the Kb/Kd-ratio
The cell birth rate (Kb) and the rate of loss of cornified cells (KA) were assessed as previously described in detail (Budtz 1985a, 1986a, 1988). Briefly, the Kb was determined stathmokinetically by means of vinblastine sulphate. For each toad the number of metaphases per mm2 or surface (M) was calculated according to Eq. (1) where m = the number of metaphases per 1000 basal cells, nsg = the number of cells in stratum germinativum per mm of surface, and 0.75 = a correction factor (Budtz 1979, 1986a). The Kb, expressed as cells per mm2 per h, + SEM was then calculated according to Eq. (2) where M4 and M1, are the mean number of metaphases per mm2 at 4 and 1 h after vinblastine injection and SEMi and SEM4 the standard error for each of the two groups.



Formules
The Kd expressed as cells per mm2 per h, was calculated according to Eq. (3) where Nsc = number of cornified cells per mm2 and ip = the intermoult period in days. Although expressed per h, it should be mentioned that moulting is a periodic event by which the single-layered stratum corneum at intervals (the intermoult period) is shed as a whole (see Larsen 1976). In experimental toads, in which the stratum corneum was not shed, the KA was calculated on basis of the number of cells in the last formed cornified layer and the increase in number of layers between two samplings (Budtz 1979, 1985b, 1986a).
Lectin binding and fluorescence microscopy
After decapitation, skin samples of the abdomen were quickly removed, immediately frozen in isopentane-liquid nitrogen (at —160° C), and stored at —80° C until section-ing. Cryostat sections (5-7 μm) from 4 adult male toads were cut perpendicular to the surface, placed on coverslips, and air-dried at room temperature.
Lectin from Pisum sativum (PSA), conjugated with fluo-rescein isothiocyanate (FITC) was a generous gift from Dr. T. Bog-Hansen, Copenhagen. Cryostat sections were incubated in a moist chamber with FITC-PSA (0.1-0.3 mg/ml in 0.01 M phosphate-buffered saline (PBS), pH 7.3) for 15 min at room temperature, rinsed 3 times in PBS and mounted with polyethylene glycol. Control sections were incubated with PSA that had been inactivated by D-man- nose (Sigma, 25 mg/ml).
The sections were examined and photographed with a Reichert Zetopan fluorescence photomicroscope, equipped with a BG12/6 mm excitation filter and a GG9/1 mm barrier filter.
Results
General epidermal structure
It is not intended to give a full account of the epidermal structure in the various experimental situations but merely to focus on structures, which potentially could be manifes-tations of the deletion process. Briefly, however, the epider-mal structure of control toads was similar to that described previously (Budtz and Larsen 1973, 1975). The number of cornified layers present was greatly increased following ab-lation of the pars distalis, which is consistent with an in-creased rate of formation of cornified layers and cessation of the sloughing process, as previously described (Budtz 1979, 1985b). Following implantation of hydrocortisone pellets, the number of cornified layers present was also in-creased, due, however, to cessation of the sloughing process only (Jorgensen 1988; Budtz 1988). Otherwise the epidermal structure was generally similar in the experimental groups, although in toads 14 days after ablation of the pars distalis occasionally the epidermis was somewhat deteriorated as previously described (Budtz 1979). In intact toads with implanted hydrocortisone pellets, the intercellular space was often widened and cytoplasmic vacuolization occasionally observed. Some specific features that were not found in normal toads or in other experimental groups, were (1) the observation of an abnormal keratinization pattern (Fig. 1), found in two operated toads with hydrocortisone pellets implanted for 7 days, and (2) fully differentiated flask cells (= mitochondria-rich cells) within the stratum germinativum (Fig. 2), found in two pars distalis-hypophy- sectomized toads with hydrocortisone pellets implanted for 7 days. This latter observation confirms the recent demonstration by Denefle et al. (1987) that flask cells originate in the stratum germinativum.

Figure 1-2. 1)Abnormal keratinization pattern (arrows) following 7 days of hydrocortisone implantation (group II). Evagination of the outer cornified layer and invagination of the inner cornified layer [the latter is not the lining of a gland duct (serial sections)]. Primary magnification x 130; bar: 25 μm; 2)Mature flask cell (fc) within the stratum germinativum (.sg). and, likely or unlikely, could be morphological manifesta-tions Group IV. d Dermis; E epidermis; in mitotic figure; sc stratum corneum. Prim. magn. x 250; bar: 10 μm.
“Candidate structures ”
Special attention was paid to all structures in the basal epidermis that differed from “normal” basal structures and, likely or unlikely, could be morphological manifesta-tions of the deletion process. Such “candidate structures” were categorized light-microscopically, independent of their experimental origin, as shown in Figs. 3-10. Figure 3 shows a globular cell thought to be undergoing autolytic breaKdown. Figure 4 shows some small cells intermingled with the larger cells of the basal layer. In analogy to the polar bodies of the oocyte, these small cells will tentatively be referred to as “abortive” cells. Figs. 5-8 show various aspects of what will be referred to as “dark cells", which are more or less conspicuous elements appearing singly or in small groups displaying portions of intensely stained cytoplasm. Occasionally such portions were found in the dermis, as shown in Fig. 8. Figs. 9 and 10 may represent morphological manifestations of the release of basal cells from the epidermis, and their emigration to the dermis. Structures of this type will be referred to in the following as “omega-figures'Figs. 11-14 show “omega-figures”, which we suggest to reflect a series of events, starting with a cell still attached to the epidermis (Fig. 11), its release from the epidermis in Fig. 12, and its migration to deeper parts of the dermis where it may be phagocytosed as shown in Fig. 14.

Figure 3-10. Potential manifestations of the deletion process. Prim. magn. x 330; bar: 10 μm. Fig. 3. Probably autolytic cell (arrow). Group II. Fig. 4. Small cells (“abortive cells”) (arrows) intermingled with “normal” basal cells. Group III. Fig. 5. Aspect of “dark cells” (arrows). Group VI. Figs. 6, 7. Aspects of “dark cells” (arrows). Group III. Fig. 8. Remnants of “dark cell" within the dermis (arrow). Group III. Fig. 9. “Omega-figure”. Note at arrows the appearance of dermis on both sides of a cell, which still is attached to the epidermis at its upper end. Group III. Fig. 10. Aspect of “omega-figure” (arrows) thought to reflect release of basal cell from the epidermis. Group III.
Quantitative analysis of “candidate structures ’’

Figure 11-15. Hypothetical series of events, starting with a cell still attached to the epidermis (Fig. 11; Group II), its release from the epidermis (Fig. 12; Group I), its emigration to deeper parts of the dermis (Fig. 13; Group I), where it may be phagocytosed as shown in Fig. 14 (arrow: Group III). Prim. magn. x 130; bar: 10 μm. Fig. 15. PSA-FITC lectin staining of normal toad epidermis. Note the intense staining of the boundary of some basal cells (arrows), the cell to the left resembling that shown in Fig. 11, the cell to the right resembling that shown in Fig. 12. Prim. magn. xl30; bar: 25 μm.
In an attempt to determine whether any of the above-men-tioned structures occurred with different frequencies in the experimental groups showing different Kb/Kd ratios, an analysis of their incidence was performed. In Table 2, the experimental groups are ranked according to increasing Kb/Kd-ratios and the incidence of the various “candidate struc-tures” per 1000 basal cells is given, based on the pooled results for each group. With an average number of 125 cells per mm of surface, the total length of surface, under which “candidate structures” were searched, was 35-60 mm for the individual groups. As can be seen, the only structures that correlate relatively closely with the Kb/Kd-ratio, are “dark cells” and “omega-figure”.
Table 2. Quantitative analysis of candidate structures for being morphological manifestations of the deletion process (cells per 1000 basal cells).

There was no correlation between the number of “au-tolytic cells”, or of “abortive cells”, and the Kb/Kd-ratio (Table 2).
In the vinblastine-treated toads (see Table 1), there was no difference in number of “candidate structures” between groups treated for 1 h or 4 h, respectively (data not shown).
Ultrastructure of elements that quantitatively correlate with the Kb/Kd-ratio
Epon blocks from which sections inspected by light micro-scopy had shown typical “dark cells” or “omega-figures”, were selected for electron-microscopic examination, independent or their experimental origin. Various features of “dark cells” are shown in Figs. 15-18. Phagocytosis of cel-lular fragments by surrounding keratinocytes was not ob-served, but phagocytes with engulfed cellular fragments (Fig. 20) or keratinocyte remnants (Fig. 21) were occasionally seen. Occasionally, cytoplasmic processes were seen protruding into the dermis (Fig. 19), and especially in the hydrocortisone-treated toads, cellular fragments with var-ious inclusion bodies were often seen in the dermis (Fig. 22) as were cellular remnants without plasma membrane (Fig. 23) and cellular debris similar to the “keratin bodies” described by Grubauer et al. (1986) (Fig. 24). Often the dark cells showed reduction of the cytoplasmic volume. Fre-quently, Merkel cells were seen closely associated to “ dark cells” (Fig. 19).

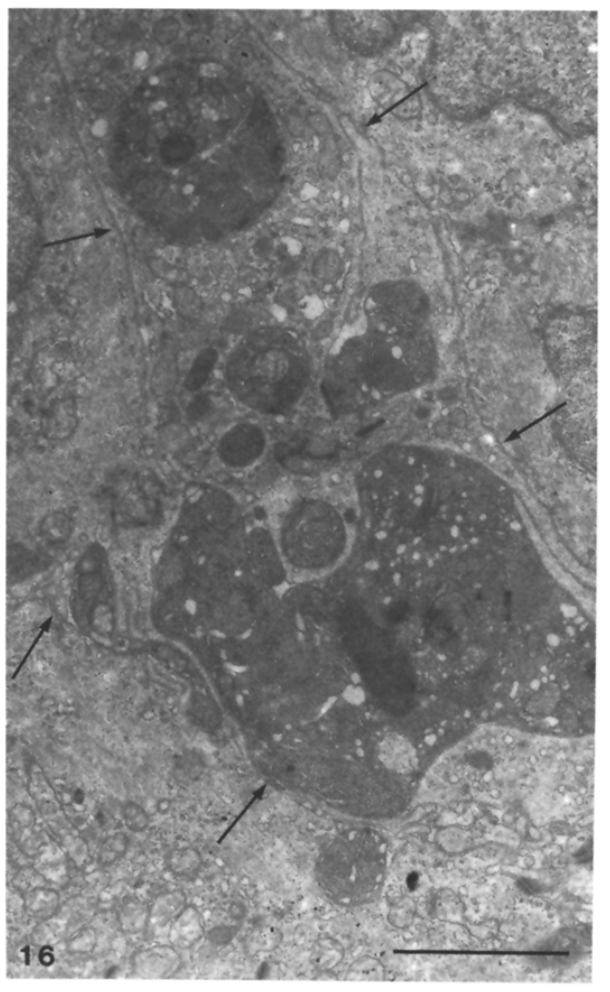
Figure 16. Electron micrograph of a “dark cell” (surrounded by arrowsf), with loss of desmosomes and displaying a condensed cytoplasm. Group III. Prim. magn. x 2500; bar: 2.0 μm.

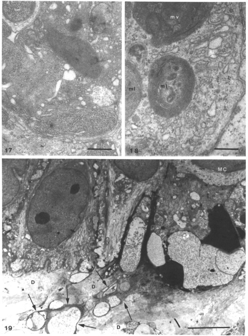
Figure 17-19. Fig. 17. Detail of Fig. 16, showing dense formations of ribosomes. Prim. magn. x 8700; bar: 0.5 μm Fig. 18. Section adjacent to Fig. 16, showing partly vesiculated, dilated endoplasmic reticulum and various multilamellate (ml) and multivesicular (mv) bodies. Prim. magn. x 8700; bar: 0.5 μm Fig. 19. “ Dark cell” with nuclear condensation and margination, and a cytoplasmic process (arrows) protruding into the dermis (Z)). Group IV. MC Merkel cell. Prim. magn. x 1830; bar: 5.0 μm.
An “omega-figure”, the other structure that correlated with the Kb/Kd, is shown in Fig. 25. An epithelial-like cell with filaments, rough endoplasmic reticulum, mito-chondria, and irregular-shaped nucleus is located in an epi-dermal “pouch”, delineated by the lamina densa of the basal lamina. The epithelial-like cell itself is not surrounded by visible basal lamina components.
Lectin binding
Only normal toad skin was studied by FITC-PSA fluores-cence microscopy. An intense staining reaction was ob-served in the stratum corneum and in the basement mem-brane, whereas in general only very weak lectin binding to the surface of the keratinocytes, including that of basal cells, was observed (Fig. 15). Control sections incubated with D-mannose-inactivated PSA revealed a strong fluorescence of the stratum corneum only, indicating that the fluo-rescence of this layer was unspecific.
Discussion
The cell birth rate (Kb) or normal toad epidermis exceeds the rate of cell loss through moulting, the desquamation rate (KA), and the “surplus” of cells cannot be accomodated within the living epidermis, and must therefore be deleted by a mechanism other than desquamation (Budtz 1985 a). Calculated as the difference between the Kb and the Kd the deletion rate in normal toad epidermis may be estimated to 16 (Budtz 1985a), 22 (Budtz 1985b) and 8 cells mm-2 h-1 (Budtz 1988), respectively. The goal of the pres-ent study was to clarify experimentally the mechanism(s) by which cells are deleted, taking advantage of the fact that the Kb/Kd-ratio in short-term studies can be manipu-lated without a significant change in the size of the epider-mal cell pool (Budtz 1985 b, 1988).
In principle, the epidermal cells may be deleted by cell death within the epidermis and subsequent removal of cell remnants by other cells in the epidermis, or by emigration to - and elimination in - the dermis (Fig. 4 in Budtz 1985 a).
Epidermal cell death
The existence of several different forms of cell death has been implied (Beckingham-Smith and Tata 1976; Beaulaton and Lockshin 1982). During the last decade, however, it has become increasingly clear that cell death classified into necrosis and apoptosis provides a fairly comprehensive coverage of types of cell death (Wyllie 1981). Morphological manifestations of necrosis include cellular oedema, mitochondrial swelling, progressing dilation of endoplasmic re-ticulum, plasma membrane rupture, nuclear dissolution and loss of recognisable organelles, whereas apoptosis is charac-terised by loss of cell junctions, cytoplasmic condensation, margination of nuclear chromatin, followed by adoption of a deeply folded cell outline, arrangement in very compact formations of mitochondria and ribosomes, and often by dilation and vesiculation of endoplasmic reticulum, and fi-nally a break up of cells into apoptotic bodies, which are eventually phagocytosed by other cells (Wyllie 1981). We preferred, however, to consider all structures different from “normal” epidermal structures as potentially taking part in the deletion process and only dismiss them as such when their numbers were not changed under experimental conditions where the Kb/Kd-ratio was altered without a concomitant change in the size of the epidermal cell pool.
The number of cells referred to as dark cells was markedly higher in groups with a high Kb/Kd-ratio than in groups with low ratios (r = 0.92, Table 2). The term “dark cells” has been applied by many authors to characterise by light microscopy cells that differ from their neighbours by being strongly basophilic, and by electron microscopy cells that differ from neighbour cells by having dense masses of ribosomes and condensed chromatin. The occurrence of dark cells is by some authors assumed to be a sign of non-specific cell injury (Reimer et al. 1972; Brown 1977; Smith et al. 1985), by others to represent stem cells (Klein-Szanto and Slaga 1981; Slaga and Klein-Szanto 1983) or to play a specific role in tumor promotion (O’Connell et al. 1986). As pointed out by Parsons et al. (1983), however, dark cells should not necessarily be grouped together as a single class. Evidently, the cells classified by light microscopy as dark cells in the present study have different ultrastructure when compared on a cell-by-cell basis, but they all show features characteristic of various phases of cell death classified as apoptosis by Wyllie and co-workers (Kerr et al. 1972; Wyllie et al. 1980; Wyllie 1981).
In many non-desquamating tissues like liver and adrenal cortex, in which cell divisions are readily demonstrable, apoptosis has been suggested as a basic biological mecha-nism, which counterbalances mitosis in maintaining a con-stant cell pool (Kerr et al. 1972; Alison et al. 1987). The concept of apoptosis as a tissue homeostatic mechanism has arbitrarily (see below) been extended to epithelia including epidermis (Olson and Everett 1975; Potten et al. 1977; Marks 1980; Hume 1983; Grubauer et al. 1986; Pollard et al. 1987; Linser et al. 1987; Ferguson 1988). The concept implies that rates of mitosis and desquamation are not the sole determinants of the size of the epidermal cell pool, cell deletion by apoptosis being an additional homeostatic mechanism. We have shown that the incidence on “dark cells”, as defined by Figs. 5-8, correlates with the Kb/Kd- ratio and that the “dark cells” at the ultrastructural level manifest themselves as various stages of apoptosis as defined by Wyllie (1981). The present combined tissue kinetic and morphological analysis provides, to our best knowledge, the first ample evidence that apoptosis is a homeostatic mechanism by which a “surplus” of cells produced - or at least most of it - is removed. Moreover, the number of “dark cells” in normal toad epidermis was 9.6 per 1000 basal cells (Table 2), corresponding to about 115 cells mm 2 as calculated according to Eq 1 in Materials and methods, the number of dark cells being substituted for the number of metaphases. Assuming apoptosis to be expressed as dark cells only, apoptosis to be the main mecha-nism of deletion, and an average deletion rate of 16 cells mm-2 h-1 (vide supra), an apoptotic duration of 115/16 h or about 7 h can be calculated. Obviously this estimate of the apoptotic duration is very rough, but it may give an order of magnitude and is consistent with the view that apoptosis is a process by which a “large number of cells may be deleted in a short time, yet leaving intact the overall stro-mal-parenchymal organization of the tissue” (Wyllie 1981).
In most other desquamating epithelia the evidence of apoptosis is purely morphological, there being no cell and tissue kinetic proof of apoptosis as a homeostatic mecha-nism. Thus, in human skin, for instance, a relatively good agreement between the daily cell birth rate and the daily desquamation rate has been claimed by Weinstein et al. (1984); yet apoptotic cells or their remnants with a structure similar to that observed in toad epidermis are found as a constant phenomenon in normal as well as in diseased human skin (Ebner and Gebhart 1975; Hashimoto 1976; Weedon et al. 1979; Grubauer et al. 1986; Lovas 1986; Linser et al. 1987). If the only function of apoptosis in nor-mal epidermis, therefore, is tissue homeostasis, more cells must be produced - also in human epidermis - than needed to replace cells lost by desquamation, a possibility that has been analysed by Budtz (1986b). Thus, a Kb of 1246 cells mm-2 day-1 as calculated by Weinstein et al. (1984) and a Kd of 658 cells mm-2 day-1 for abdomen and 619 cells mm-2 day-1 for the thigh as calculated by Budtz (1986b) give calculated deletion rates of 25 and 26 cells mm-2 h-1 for human abdominal and thigh epidermis, respectively, which are similar to the values found for toad epidermis.
Only little is known of the control of cell deletion, but it appears that signals provoking initiation of programmed cell death include hormones, and during morphogenesis, locally diffusing chemical signals (Beaulaton and Lockshin 1982), but that crowding by basal cell proliferation may also be considered (Parsons et al. 1983). In this context it is interesting to note that apoptotic cells in the present study were often found closely associated with Merkel cells. Merkel cells are cutaneous cells found in all vertebrate classes investigated (see Gould etal. 1985; Hartschuh et al. 1986). They belong to the APUD-series of cells of Pearse (1968, 1969) (paraneurons of Fujita (1976)) and are intimately associated with cutaneous nerves and form synapses with these. A role of the Merkel cell-neurite complex in mechanoreception is well documented (Iggo and Muir 1969; Parducz etal. 1977; Iggo 1980). Presumably, however, the mechanoreceptor function is a function of the nerves rather than of the Merkel cells (Gottschaldt and Vahle-Hinz 1981, 1982), and it has been suggested that the Merkel cells have a trophic function in epidermal growth and differentiation (Nafstad and Baker 1973; Gould et al. 1985; Moll etal. 1986). Although speculation at present, it may be worthwhile to investigate whether cell crowding could be sensed by the nerves, thereby provoking a release of substances stored in Merkel cells, which in turn could initiate the apoptotic process.
Cell death by emigration
Another structure that correlated with the Kb/Kd-ratio (r = 0.65, Table 2) was the so-called “omega-figures”. We believe that these structures reflect phases in the release of single cells from the basal epidermis, as suggested by Figs. 11-14. This interpretation presupposes that the cells traverse the basal lamina. It is unlikely that normal cells would do so, although the turn-on of genes coding for proteolytic enzymes, which may be secreted from single cells, cannot be excluded. Alternatively, the mechanism shown in Fig. 26 may be proposed. It is based upon similarities between “omega-figures” and certain structures localised by FITC-conjugated PSA, a lectin that is a specific probe for alfa-D-mannose. Mannose is a basal lamina precursor (Ke- falides 1975). Supposing that mannose (or for that matter: any precursor substance) is an important component for a basal lamina being fully functional as a barrier, the hypo-thetical mechanism shown in Fig. 26 may explain the release of single cells from the epidermis. A crucial point is the turnover of the basal lamina, as the hypothesis presupposes a rather short half life as depicted by the broken line. Nor-mally, basement membranes - once fully assembled - are considered stable structures, but apart from estimations of a half life of several months in rat glomerular basement membrane virtually nothing is known of the turnover pro-cesses of basal laminae (Abrahamson 1986). If the cell shown in Fig. 25 is released from the epidermis, the absence of a basal lamina at its dermal side indicates a rather short half life of the basal lamina. Work is in progress to analyse this possibility.
Necrosis as a homeostatic mechanism?
No correlation was observed between the number of au-tolytic cells and the Kb/Kd-ratio (r= —0.36, Table 2), and structurally no cytoplasmic swelling, dissolution of cyto-plasmic organelles or rupture of intraepidermal cell mem-branes was observed. It is therefore unlikely that necrosis plays a role in toad epidermal homeostasis, consistent with the view that necrosis occurs mainly in circumstances far from physiological conditions (Wyllie 1981).
Elimination of degenerate cells
As demonstrated above, cell deletion is accomplished by apoptosis and possibly by emigration from the epidermis. The cellular material that is in the process of being degraded or has been degraded may be removed from the site of degradation by phagocytosis or by extrusion from the deg-radation site (Wyllie 1981; Beaulaton 1982). According to the scheme for apoptosis in human skin, proposed by Linser et al. (1987), single scattered basal kératinocytes undergoing apoptosis finally disintegrate into membrane-bounded apoptotic bodies, containing nuclear and cytoplasmic rem-nants, which are either phagocytosed by neighbouring kéra-tinocytes or lose their enclosing membrane and appear as aggregates of unsoluble “keratin bodies”. According to these authors, the keratin bodies then pass through the basement membrane zone, partially or completely destroying the lamina densa, become coated with immunoglobulins and are finally removed by enzymatic digestion or phagocytosis by macrophages or fibroblasts.

Figure 20-24. Fig. 20. Apoptotic body (ab) within phagocyte in the basal epider-mis. D dermis. Group I. Prim. magn. x 4500; bar: 2.0 μm; Fig. 21. Phagocyte (P) between basal epidermal cells (E), with fila-ment-containing apoptotic bodies (ab). D dermis. Group II. Prim, magn. x 4500; bar: 2.0 μm; Fig. 22. Cellular fragments with various inclusion bodies within the dermis (arrows). Group III. / iridophore processes. Prim. magn. x 7500; bar: 1.0 μm; Fig. 23. Cellular remnants without plasma membrane (arrow) within the dermis. Group III. Prim. magn. x 7500; bar: 0.5 μm; Fig. 24. Cellular debris (“keratin bodies”, Kb) in the dermis (d). Group III. E epidermis. Prim. magn. x 8700; bar: 0.5 μm.

Figure 25. Ultrastructure of an “omega-figure". Epithelial-like cell (E) without a basal lamina of its own, located in a “pouch" of basal epidermal cells (BC) and their adjecent basal lamina. Apparently ruptured desmosomal contacts between the epithelial- like cell and the basal epidermal cells (arrows). Group V; d dermis. Prim. magn. x4500; bar: 2.0 μm.
In the present study, the first steps including intraepider-mal phagocytosis of apoptotic bodies, however not by sur-rounding kératinocytes but by phagocytes, were confirmed, consistent with findings on apoptosis in murine epidermis (Parsons et al. 1983). It is difficult to understand, however, by which mechanisms the (dead) keratin bodies should de-stroy, partially or completely, the basal lamina, and pass through it. The occurrence of “debris” (Fig. 24), a structure similar to the “keratin body” (Grubauer et al. 1986, Linser et al. 1987), may rather be a result of budding-off of the cytoplasmic processes of apoptotic cells protruding into the dermis, or of disintegration of cells released from the epider-mis by the mechanism proposed in Fig. 26. Cytoplasmic processes from basal kératinocytes into the dermis through gaps in the basal lamina (Fig. 19) have also been observed in involved psoriatic skin (hyperproliferation) by Heng et al. (1986). These authors suggest the occurrence of gaps in the lamina densa and formation of cytoplasmic processes (“basal kératinocyte herniations”) to be an unspecific con-sequence of inflammation, including proteolytic autodiges-tion by means of proteolytic enzymes released from macrophages, neutrophils, and endothelial cells. It is not possible to determine whether the cellular fragments, remnants, and “debris” observed in the dermis (Figs. 22-24) originate from cytoplasmic processes of apoptotic cells situated in the epidermis, or from single degenerate cells released from the epidermis.

Figure 26. Diagram illustrating a hypothetical mechanism of release of single cells from the epidermis. At the left a cell in mitosis, at the right the resultant two daughter cells (open arrows). Supposing that one of the two daughter cells (marked by —) was unable to incorporate mannose (or any other basal lamina precursor), whereas the other daughter cell and surrounding basal cells (marked by +) were successful, the resultant functional basal lamina would reveal a location depicted by the thick black line. In this way, the cell marked by ( —) would have isolated itself on the dermal side of the functional basal lamina, and thus be free to migrate.
References
Abrahamson DR (1986) Recent studies on the structure and pa-thology of basement membranes. J Pathol 149:257-278
Alison MR, Wilkins MJE, Walker SM, Hully JR (1987) Cell population size control in the rat liver: the response of hepatocytes in various proliferative states to a mitotic stimulus. Epithelia 1:53-64
Beaulaton J, Lockshin RA (1982) The relation of programmed cell death to develoμment and reproduction: Comparative studies and an attempt at classification. Int Rev Cytol 79:215-235
Beckingham-Smith K, Tata JR (1976) Cell death. Are new proteins synthesised during hormone-induced tadpole tail regression? Exp Cell Res 100:129-146
Bergstresser PR, Taylor JR (1977) Epidermal “turnover time” - a new examination. Br J Dermatol 96:503-509
Bowen ID (1981) Techniques for demonstrating cell death. In: Bowen ID, Lockshin RA (eds) Cell death in biology and pathology. Chaμman and Hall, London New York, pp 379-444
Brown AW (1977) Structural abnormalities in neurones. J Clin Pathol 30 (suppl 11): 155-169
Budtz PE (1979) Epidermal structure and dynamics of the toad, Bufo bufo, deprived of the pars distalis of the pituitary gland. J Zool Lond 189:57-92
Budtz PE (1982) Time-dependent effects of removal of the pars distalis of the pituitary gland on toad epidermal cell and tissue kinetic parameters. Cell Tissue Kinet 15:507-519
Budtz PE (1985a) Epidermal tissue homeostasis. I. Cell pool size, cell birth rate and cell loss by moulting in the intact toad, Bufo biifo. Cell Tissue Kinet 18:521-532
Budtz PE (1985 b) Epidermal tissue homeostasis. II. Cell pool size, cell birth rate and cell loss in toads deprived of the pars distalis of the pituitary gland. Cell Tissue Kinet 18:533—542
Budtz PE (1986a) Amphibian skin as a model in studies on epidermal homeostasis. In: Marks R, Plcwig G (eds) Skin models. Springer, Berlin Heidelberg New York, pp 58-72 Budtz PE (1986b) Expectations of human epidermal kinetic homeostasis. Br J Dermatol 114:645-650
Budtz PE (1988) Epidermal tissue homeostasis. III. Effect of hydrocortisone on cell pool size, cell birth rate and cell loss in normal toads and in toads deprived of the pars distalis of the pituitary gland. Cell Tissue Kinet (in press)
Budtz PE, Larsen LO (1973) Structure of the toad epidermis during the moulting cycle. I: Light microscopic observations in Bufo bufo. Z Zellforsch 144:353-365
Budtz PE, Larsen LO (1975) Structure of the toad epidermis during the moulting cycle. II. Electron microscopic observations in Bufo bufo. Cell Tissue Res 159:459-483
Denefle J-P, Lechaire J-P, Zhu Q-L (1987) Fibronectin (FN) localization in mitochondria-rich cells of frog epidermis. Biol Cell (Paris) 59:181-184
Dongen WJ van, Jorgensen CB, Larsen LO, Rosenkilde P, Lofts B, van Oordt PGWJ (1966) Function and cytology of the normal and autotransplanted pars distalis of the hypophysis in the toad Biifo bufo (L). Gen Comp Endocrinol 6:491-518
Ebner H, Gebhart W (1975) Light and electron microscopic differentiation of amyloid and colloid or hyaline bodies. Br J Dermatol 92:637-645
Ferguson DJP (1988) An ultrastructural study of mitosis and cy-tokinesis in normal “resting” human breast. Cell Tissue Res 252:581-587
Fujita T (1976) The gastro-enteric cell and its paraneuronic nature. In: Coupland T, Fujita T (eds) Chromaffin, enterochromaffin and releated cells. Elsevier, Amsterdam, pp 191-208 Gottschaidt KM, Vahle-Hinz CH (1981) Merkel cell receptors: structure and transducer function. Science 214:183-186
Gottschaidt KM, Vahle-Hinz CH (1982) Evidence against transmitter function of met-enkephalin and chemosynaptic impulse generation in “Merkel cell” mechanoreceptor. Exp Brain Res 45:459—463
Gould VE, Moll R, Moll I, Lee I, Franke WW (1985) Biology of disease. Neuroendocrine (Merkel) cells of skin: hyperplasias, dysplasias, and neoplasms. Lab Invest 52:334-353
Grubauer G, Romani N, Kofler H, Stanzl U, Fritsch P, Hintner H (1986) Apoptotic keratin bodies as autoantigen causing the production of of IgM-anti-keratin intermediate filament autoantibodies. J Invest Dermatol 87:466-471
Hartschuh W, Weihe E, Reineche M (1985) The Merkel cell. In: Bereiter-Hahn J, Matoltsy AG, Richards KS (eds) Biology of the integument, vol 2: Vertebrates. Springer, Berlin Heidelberg New York Tokyo, pp 605-620
Hashimoto K (1976) Apoptosis in lichen planus and several other dermatoses. Acta Dermatovener (Stockholm) 56:187-210
Heng MCY, Kloss SG, Kuehn CS, Chase DG (1986) Significance and pathogenesis of basal kératinocyte herniations in psoriasis. J Invest Dermtol 87:362-366
Hoffman CW (1978) Epidermal proliferation in lower vertebrates. In: Jeter JR, Cameron IL, Padilla GM, Zimmerman AM (eds) Cell cycle regulation. Academic Press, New York San Francisco London, pp 221-232
Hume WJ (1983) Stem cells in oral epithelia. In: Pötten CS (ed) Stem cells: their identification and characterization. Churchill Livingstone, Edinburgh, pp 233-270
Hume WJ (1985) Kératinocyte proliferative hierarchies confer protective mechanisms in surface epithelia. Br J Dermatol 112:493-502
Iggo A (1980) Electrophysiology of cutaneous sensory receptors. In: Spearman RIC, Riley PA (eds) The skin of vertebrates. Linn Soc Symp Ser 9, Academic Press, London, pp 255-270
Iggo A, Muir AR (1969) The structure and function of slowly- adapting touch corpuscle in hairy skin. J Physiol (Lond) 200:763-796
Jorgensen CB (1988) Nature of moulting control in amphibians: effects of cortisol implants in toads Bufo bufo. Gen Comp En-docrinol 71:29-35
Jorgensen CB, Levi H (1975) Incorporation of 3H-thymidine in stratum germinativum of epidermis in the toad Biifo bufo bufo (L) : An autoradiographic study of moulting cycle and diurnal variations. Comp Biochem Physiol 52A: 55-58
Kefalides NA (1975) Basement membranes: structural and biosynthetic considerations. J Invest Dermatol 65:85-92
Kerr JFR, Wyllie AH, Currie AR (1972) Apoptosis: a basic biological phenomenon with wide-ranging implications in tissue kinetics. Br J Cancer 26:239-257
Klein-Szanto AJP, Slaga TJ (1981) Numerical variation of dark cells in normal and chemically induced hyperplastic epidermis with age of animal and efficiency of tumor promotor. Cancer Res 41:4437-4440
Larsen LO (1976) Physiology of moulting. In: Lofts B (ed) Physiol-ogy of Amphibians, vol 3. Academic Press, New York San Francisco London, pp 53-100
Levi H, Nielsen A (1982) An autoradiographic study of cell kinetics in epidermis of the toad Bufo bufo bufo (L). J Invest Dermatol 79:292-296'
Linser I, Auböck J, Romani N, Smolle J, Grubauer G, Fritsch P, Hintner H (1987) The keratin body phenomenon. Epithelia 1:85-99
Lovas JGL (1986) Apoptosis in human epidermis: a postmortem study by light and electron microscopy. Aust J Dermatol 27:1-5
Marks R (1980) Is epidermal homeostasis a necessity? - comments on epidermal growth control. Br J Dermatol 103:697-702
Moll I, Moll R, Franke WW (1986) Formation of epidermal and dermal Merkel cells during human fetal skin develoμment. J Invest Dermatol 87:779-789
Nafstad PHJ, Baker RE (1973) Comparative ultrastructural study of normal and grafted skin in the frog, Rana pipiens, with special reference to neuroepithelial connections. Z Zellforsch 139:451-462
O’Connell JF, Klein-Szanto AJP, DiGiovanni DM, Fries JW, Slaga TJ (1986) Enhanced malignant progression of mouse skin tumors by free-radical generator benzoyl proxide. Cancer Res 46:2863-2865
Olson RL, Everett MA (1975) Epidermal apoptosis: cell deletion by phagocytosis. J Cutan Pathol 2:53-57
Parducz A, Leslie RA, Cooper E, Turner CJ, Diamond J (1977) The Merkel cells and the rapidly adapting mechanoreceptors of the salamander skin. Neurosciences 2:511-521
Parsons DF, Marko M, Braun SJ, Wansor KJ (1983) “Dark cells” in normal, hyperplastic, and promotor-treated mouse epidermis studied by conventional and high-voltage electron microscopy. J Invest Dermatol 81:62-67
Pearse AGE (1968) Common cytochemical and ultrastructural characteristics of cells producing polypeptide hormones (the APUD series) and their relevance to thyroid and ultimobran- chial C cells and calcitonin. Proc R Soc Lond [Biol] 170:71-80
Pearse AGE (1969) The cytochemistry and ultrastructure of poly-peptide hormone-producing cells of the APUD-series and the embryologie, physiologic and pathologic implications of the concept. J Histochem Cytochem 17:303-313
Pollard JW, Pacey J, Cheng SVY, Jordan EG (1987) Estrogens and cell death in murine uterine luminal epithelium. Cell Tissue Res 249:533-540
Potten CS, Al-Barwari SE, Hume WJ, Searle J (1977) Circadian rhythms of presumptive stem cells in three different epithelia of the mouse. Cell Tissue Kinet 10:557-568
Read J, Watt F (1988) A model for in vitro studies of epidermal homeostasis: proliferation and involucrin synthesis by cultured human keratinocytes during recovery after stripping off the suprabasal layers. J Invest Dermatol 90:739-743
Reimer KA, Ganote CE, Jennings RB (1972) Alterations in renal cortex following ischaemic injury. III. Ultrastructure of proxi-mal tubules after ischaemia or autolysis. Lab Invest 26:347-363
Ridge BD, Batt MD, Palmer HE, Jarrett A (1988) The dansyl chloride technique for stratum corneum renewal as an indicator of changes in epidermal mitotic activity following topical treatment. Br J Dermatol 118:167-174
Slaga TJ, Klein-Szanto AJP (1983) Initiation-promotion versus complete skin carcinogenesis in mice: importance of dark basal keratinocytes (stem cells). Cancer Invest 1:425-136
Smith CA, Monaghan P, Ellis V (1985) Epithelial cells of the normal human breast. J Pathol 146:221-226
Weedon D, Searle J, Kerr JFR (1979) Apoptosis: its nature and implications for dermatopathology. Am J Dermatopathol 1:133-144
Weinstein GD, McCullough JL, Ross P (1984) Cell proliferation in normal epidermis. J Invest Dermatol 82:623-628
Wyllie AH (1981) Cell death: a new classification separating apoptosis from necrosis. In: Bowen ID, Lockshin RA (eds) Cell death in biology and pathology. Chapman and Hall, London New York, pp 9-34
Wyllie AH, Kerr JFR, Currie AR (1980) Cell death: the significance of apoptosis. Int Rev Cytol 68:251-306